1. Cabinet Maupassant
  2. Orthodontie
  3. Les indications du traitement orthodontique pour votre enfant au sein du cabinet dentaire Maupassant à Marseille: Intercepter pour mieux traiter .
Retour

Les indications du traitement orthodontique pour votre enfant au sein du cabinet dentaire Maupassant à Marseille: Intercepter pour mieux traiter .

Quand ?

Il est recommandé de faire une première consultation pour l’orthodontie de votre enfant vers l’âge de 7-8 ans . A cet âge , votre enfant présente une dentition avec des dents de lait et des dents définitives . Cette dentition est appelé mixte mais stable .

L’examen orthodontique va permettre de déceler des problèmes précoces du développement de la dentition et de la croissance des mâchoires . C’est là qu’un traitement interceptif peut alors être recommandée . En effet intercepter la croissance permet de mieux traiter .

La durée du traitement orthodontique à Marseille va alors varier de 6 à 12 mois et pourra ou pas être suivi ( avec une période d’arrêt ou pas ) par un traitement classique avec des brackets à un âge plus avancé.

Le traitement orthodontique qui suivra permettra de finaliser l’alignement et l’emboîtement des dents ensemble .

Ci dessous les problèmes décelés le plus souvent en dentition mixte chez le jeune enfant .


1/ Défaut d’emboîtement des mâchoires : c’est la principale indication des traitements d’interceptions

- Mâchoire du haut trop reculée par rapport à celle du bas (figure 1a et 1b)

Une croissance trop importante de la mâchoire du bas ou au contraire une insuffisance de croissance de la mâchoire du haut peut entraîner des difficultés pour la respiration de l’enfant, pour sa mastication et son élocution. En plus de cela, la conséquence de ce défaut ou excès de croissance est esthétique , et a un impact sur le profil de ce patient.

Au vu des conséquences importantes de ce décalage des mâchoires, il peut s’avérer alors nécessaire de commencer le traitement interceptif dès l’âge de 6 ans .

Le traitement est alors le port d’un appareil associant un appareil à l’intérieur de la bouche et une force extra orale permettant de tirer la mâchoire du haut et reculer la mâchoire du bas à l’aide d’élastiques. Le traitement orthodontique le plus souvent recommandé consiste en une combinaison d’appareils portés à l’intérieur et à l’extérieur de la bouche. Des élastiques, reliant les 2 appareils, exercent une traction sur la mâchoire du haut pour la déplacer vers l’avant.

Cette correction demande, en moyenne, de 12 à 18 mois de traitement.

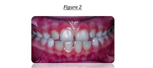
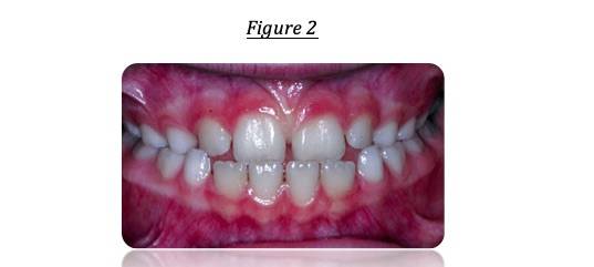
-Inversé antérieur (figure 2)

Lorsque les dents se retrouvent , certaines dents restent coincées à l’intérieur des dents du bas .

Le patient présente alors une instabilité lorsqu’il ferme et les dents du bas sont alors poussées vers l’avant. Un traitement simple peut rapidement traité le problème mais il doit être réalisé précocement afin d’éviter une aggravation du contexte qui nécessitera alors un traitement plus complexe.

Le traitement se réalise à l’aide d’un appareil amovible le plus souvent associé à des cales entre les dents pour surélever .

L’objectif est de créer une relation normale entre les dents du haut et du bas.

-Mâchoire du haut trop en avant par rapport à celle du bas : « dents en avant » (figure 3a et b)

La priorité dans un cas comme ça est d’intervenir pour diminuer le risque de traumatismes dentaires sur les dents du haut qui sont trop en avant . Il faut donc intervenir tôt avec un traitement d’interception .

Un diagnostic précis permettra de savoir si le problème d’origine est la position des dents ou la relation des mâchoires . Plusieurs types d’appareils, certains fixes, d’autres amovibles, peuvent être utilisés.

Si le problème vient d’une insuffisance de croissance de la mâchoire du bas par exemple , on utilisera un appareil qui permettra de stimuler la croissance du bas en faisant propulser l’enfant ( avancer sa mâchoire du bas avec un appareil qui le bloque dans cette position).

- Mauvaises habitudes : succion du pouce , succion digitale , tétine ( figure 4 )

La succion du pouce ou le port de la tétine par exemple , peut causer des dommages réversibles si cette mauvaise habitude est arrêtée à temps . En effet, si elle persiste, elle peut avoir un effet très dommageable sur la position des dents et la croissance des mâchoires. L’enfant qui suce son pouce présentera typiquement des dents du haut trop avancées, un palais peu développé et un espace entre les dents du haut et celles du bas appelée Béance ( figure 4 ).

Dans certains cas , l’explication et la prise de conscience suffit à l’enfant pour arrêter cette mauvaise habitude.Si ce n’est pas suffisant , un appareil pourra alors être mis en place.

L’appareil est habituellement porté pendant une période de 6-9 mois. L’espace pourra alors se réduire ou même se fermer complètement si l’enfant est encore en bas âge , sinon une phase orthodontique pourra être nécessaire.

- Perte prématurée de dents temporaires suite à caries ou autres

Une dent de lait peut être extraite pour plusieurs raisons notamment si une carie ou un abcès est présent. Cette situation peut mener à la bascule des dents adjacentes et bloquer l’éruption d’une dent permanente.Il faut alors éviter cela et mettre en place un appareil qui permettra de garder la place pour la dent permanente . Une fois que la dent est visible en bouche, l’appareil est retiré.

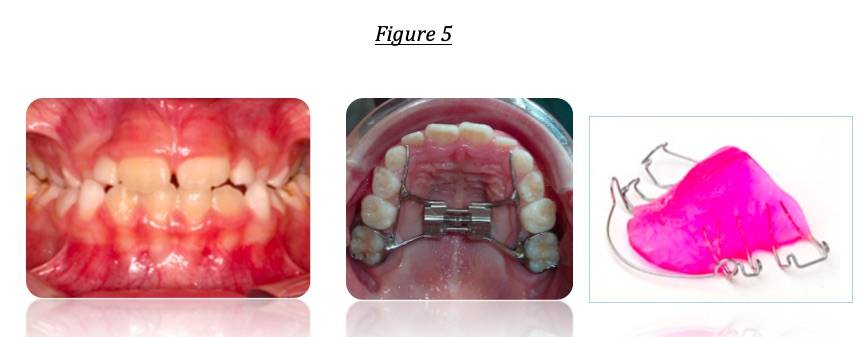
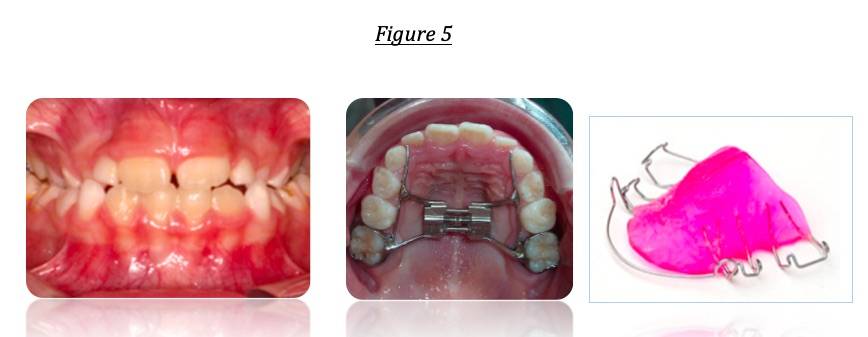
2 / Mâchoire du haut/du bas trop étroite : pas de place pour toutes les dents (figure 5)

Il peut exister une insuffisance de place pour permettre l’arrivée des dents définitives, la mâchoire du haut se retrouve donc à l’intérieur de la mâchoire du bas . Cette situation impose donc à l’enfant de rechercher une autre position de confort et donc souvent une déviation de la mâchoire s’associe. La mâchoire est donc trop petite pour permettre l’évolution de toutes les dents définitives.

Dans certains cas, le port d’un appareil peut permettre d’élargir les mâchoires et donc d’éviter des extractions.

A ce stade les appareils peuvent être fixes ou amovibles, ils sont dans tous les cas fabriqués afin de respecter la chute des dents temporaires qui interviennent souvent en cours de traitement.

Pour obtenir plus d'indications quant au traitement orthodontique à Marseille, nos chirurgiens dentistes sont à votre disposition au 04 26 85 08 09.
Avoir un jolie sourire
Avoir un jolie sourire