Nos activités

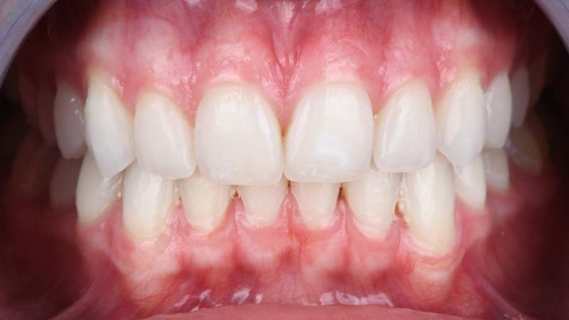
Sourire blanc après blanchiment dentaire professionnel à Marseille (13008) – résultats visibles après traitement au Cabinet Dentaire Maupassant

Blanchiment dentaire à Marseille : un sourire blanc et naturel

Blanchiment dentaire professionnel à Marseille (13008) : comment obtenir un sourire plus blanc en toute sécurité ?Au Cabinet Dentaire Maupassant, situé à Marseille Prado, nos chirurgiens-dentistes proposent des traitements par blanchiment dentaire médical permettant d’éclaircir efficacement les de...
En savoir plus
Transformation d’une dent foncée en sourire éclatant après blanchiment dentaire professionnel au Cabinet Dentaire Maupassant à Marseille (13008)

Blanchiment dentaire à Marseille : traiter les dents noires ou foncées

D’une manière similaire au blanchiment dentaire, il est possible de traiter la teinte d’une dent colorée isolée, dite dyschromiée. En cas de trauma dentaire, le nerf dentaire peut se nécroser (se mortifier), entraînant un assombrissement progressif de la dent concernée.Les dents dévitalisé...
En savoir plus
Teinte des dents éclaircie après blanchiment dentaire professionnel

Blanchiment dentaire à Marseille : solutions efficaces pour éclaircir les dents jaunes

Vous trouvez que vos dents ne sont pas assez blanches et que votre sourire manque d’éclat ? De nombreux patients souhaitent améliorer l’esthétique de leur sourire à l’approche d’un événement important, d’une cérémonie, d’un mariage ou simplement pour se sentir plus à l’aise au quotidien. Le b...
En savoir plus
Facettes dentaires

Facettes dentaires céramiques Marseille 13

La facette est une fine pélicule de céramique collée sur la face vestibulaire de votre dent. Elle peut intéresser une ou plusieurs dents en fonction de la situation clinique et de l’exigence du patient. Sa réalisation implique une préparation de la dent support, d’une épaissseur maximale de 0,5 m...
En savoir plus
Résultat après traitement pas facette et couronnes dentaires, orthodontie et implant à Marseille 13008

Facettes dentaires, orthodontie et implantologie pour améliorer le sourire

Cabinet dentaire Maupassant à Marseille (13008) : découvrez des soins dentaires sur mesure avec orthodontie, implants, facettes et couronnes pour un sourire harmonieux et une confiance retrouvée.
En savoir plus
Résultat du traitement dentaire par facettes esthétiques et orthodontie Marseille 8ème

Gouttières orthodontiques et facettes céramique pour traitement multidisciplinaire du sourire au cabinet Maupassant

Découvrez le cabinet dentaire Maupassant à Marseille, où une équipe de dentistes expérimentés vous propose des soins dentaires esthétiques et chirurgicaux. Spécialistes en facettes dentaires en céramique, nous vous aidons à réaligner et harmoniser votre sourire. Contactez-nous au 04 69 00 14 78 pour plus d'informations ou pour prendre rendez-vous !
En savoir plus
Dents alignées après traitement invisalign

Les avantages de l'orthodontie adulte à Marseille : Améliorez votre santé bucco-dentaire et l'esthétique de votre sourire

L'orthodontie adulte au cabinet dentaire Maupassant Prado Marseille offre de nombreux avantages, tant sur le plan fonctionnel qu'esthétique. Bien que l'amélioration du sourire soit une motivation importante, l'orthodontie adulte joue également un rôle clé dans l'amélioration de la santé bucco-...
En savoir plus
Dents alignées grace aux gouttières invisibles

L'orthodontie de l'adulte à Marseille : Pourquoi consulter au Cabinet Dentaire Maupassant ?

L'orthodontie de l'adulte à Marseille n'est pas seulement une question d'esthétique. Bien que l'amélioration du sourire soit une motivation majeure pour de nombreux adultes, d’autres choisissent de consulter pour des raisons fonctionnelles. Des problèmes de décalage des mâchoires ou d’encom...
En savoir plus
Réaligner des dents qui se chevauchent avec des aligneurs dentaires transparents par des chirurgiens -dentistes à Marseille dans les Bouches du Rhône

Réaligner des dents qui se chevauchent avec des aligneurs dentaires transparents par des chirurgiens -dentistes à Marseille dans les Bouches du Rhône

Vos dents se chevauchent, vous aimeriez trouver une solution adaptée sans pour autant nuire à l’esthétisme de votre sourire ? Nos chirurgiens-dentistes à Marseille, vous proposent de découvrir le traitement Invisalign, permettant de réaligner les...
En savoir plus
Implant dentaire en titane grade V et principes d’ostéo-intégration – Cabinet Dentaire Maupassant à Marseille

Implant dentaire : principes techniques et protocoles chirurgicaux

Un implant dentaire est une racine artificielle en titane destinée à supporter une prothèse fixe, comme une couronne ou un bridge, afin de remplacer une ou plusieurs dents manquantes. Sa mise en place repose sur des principes biologiques précis visant une intégration durable de l’implant dans l’os...
En savoir plus
Greffe Osseuse Dentaire : Une Solution Fiable pour Restaurer l’Os de la Mâchoire à Marseille 8e

Greffe Osseuse Dentaire : Une Solution Fiable pour Restaurer l’Os de la Mâchoire à Marseille 8e

La greffe osseuse dentaire permet de renforcer l’os de la mâchoire pour la pose d’implants. Traitement expert au Cabinet Maupassant, Marseille 8e. Contactez-nous !
En savoir plus
La greffe de sinus ou sinus lift

La greffe de sinus ou sinus lift

Le sinus lift est une technique chirurgicale permettant le gain en volume de l’os maxillaire au niveau des sinus maxillaires. Ces derniers sont des cavités pneumatiques, tapissées par une muqueuse située en étroite relation avec les dents postérieures maxillaires. Lorsque le volume osseux dans cette région contre indique un traitement implantaire, cette technique chirurgicale permet la mise d’implants dans de bonnes conditions. Un scanner 3D permettant la planification de l’intervention est un prérequis obligatoire à cette intervention, un scanner de contrôle à 6 mois post opératoire devra également être réalisé pour confirmer la réussite du traitement. L’utilisation d’un substitut osseux, placée dans la zone greffée permettra la colonisation des cellules osseuses et le remodelage d’un tissu osseux dans un délai de 6 mois. La mise en place des implants peut survenir lors de cette chirurgie, ou 6 mois plus tard selon la qualité de l’os. Réalisée au bloc opératoire au sein de notre cabinet, le sinus lift, ne nécessite aucune hospitalisation ni arrêt de travail. Un traitement antibiotique est nécessaire pour éviter tout problème infectieux post opératoire et augmenter les chances de succès. Le temps d’intervention peut varier de 90 à 120 min selon la complexité de l’intervention. La Greffe osseuse intra-sinusienne ne présente pas de complication majeure, plusieurs suites post opératoires surviennent classiquement : Œdème/hématome post opératoire, spontanément résolutif en 10 à 15 jours. Saignements nasaux du fait de la proximité de la zone traitée avec les cavités nasales Les premières semaines post-opératoires réclament de ne pas solliciter la zone traitée. L’ensemble des conseils post opératoires et des médications vous seront expliqués par l’équipe soignante qui se tiendra à votre disposition pour vous accompagner lors de la cicatrisation.
En savoir plus
Facettes dentaire  implants dentaires sourire blanc dents alignées

Réhabilitation implantaire et esthétique à Marseille Prado (Bouches-du-Rhône – 13)

M. L., 62 ans, serveur proche de la retraite, souffrait d'une usure dentaire avancée liée au bruxisme et à des dents gravement abîmées. En plus de la perte de dents, il présentait des problèmes esthétiques importants, avec des dents mobiles, infectées et des gencives enflammées, impactant sa masti...
En savoir plus
Pose implant dentaire Facettes céramique et Orthodontie invisible Marseille 13

Pose d'implant dentaire Orthodontie invisible facette céramique et traitement parodontaux au cabinet dentaire Maupassant Prado Marseille

Mme B patiente de 69 ans, habitante d’Aubagne (13) et récemment retraitée de la fonction publique territoriale, a consulté le Cabinet Dentaire Maupassant à Marseille Prado (13008) pour corriger un sourire très altéré, tant sur le plan fonctionnel qu’esthétique. N’ayant jamais bénéficié d’un suivi...
En savoir plus
Joli sourire après blanchiment dentaire facette céramique et implant dentaire

Implant dentaire, facette céramique et blanchiment – Patiente de 39 ans à Marseille Prado (Bouches-du-Rhône – 13)

Mme A., 39 ans, habitante de Carry-le-Rouet (13) et professionnelle de la communication, a consulté le Cabinet Dentaire Maupassant à Marseille Prado (13008) pour améliorer l’esthétique de son sourire. Elle présentait une mobilité d’une incisive centrale suite à un traumatisme, une teinte dentaire ...
En savoir plus
Avoir un jolie sourire
Avoir un jolie sourire