Dentiste pour faire un blanchiment dentaire à Marseille 13008

Blanchiment dentaire à Marseille

Le blanchiment dentaire à Marseille permet d’éclaircir en toute sécurité la teinte naturelle des dents et d’obtenir un sourire plus lumineux.
Au Cabinet Dentaire Maupassant, situé à Marseille (13008), nos chirurgiens-dentistes utilisent des techniques de blanchiment dentaire professionnelles pour offrir un résultat homogène, durable et parfaitement adapté à chaque patient.

Selon votre teinte initiale, un gain moyen de 2 à 3 nuances peut être obtenu, avec une tenue comprise entre 3 et 6 ans.
Ce traitement s’adresse aux patients venant de Marseille et de l’ensemble des Bouches-du-Rhône (13) souhaitant raviver l’éclat de leurs dents grâce à un éclaircissement maîtrisé et personnalisé.

Sourire blanc après blanchiment dentaire professionnel à Marseille (13008) – résultats visibles après traitement au Cabinet Dentaire Maupassant

Blanchiment dentaire à Marseille : un sourire blanc et naturel

Blanchiment dentaire professionnel à Marseille (13008) : comment obtenir un sourire plus blanc en toute sécurité ?Au Cabinet Dentaire Maupassant, situé à Marseille Prado, nos chirurgiens-dentistes p...
En savoir plus
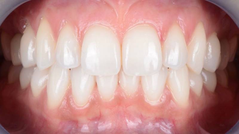
Sourire plus blanc après blanchiment dentaire professionnel à Marseille (13008) – résultats visibles et durables au Cabinet Dentaire Maupassant

Blanchiment dentaire à Marseille : éclaircir efficacement les dents jaunes

Lorsque les dents paraissent trop jaunes, le sourire devient souvent moins spontané. Cette coloration peut être liée au temps, au café, au tabac ou simplement à la teinte naturelle des dents. De nom...
En savoir plus
dents nettement plus lumineuses après blanchiment dentaire à Marseille (13008) – résultats visibles et durables

Blanchiment dentaire à Marseille : retrouver un sourire plus blanc

Vous trouvez vos dents trop jaunes, ternes ou foncées ? Le blanchiment dentaire est aujourd’hui la solution la plus fiable et la plus efficace pour retrouver un sourire lumineux.Au Cabinet De...
En savoir plus
Avant/après : dents éclaircies grâce aux techniques de blanchiment dentaire professionnel à Marseille (13008) – résultats durables au Cabinet Dentaire Maupassant

Quelle est la meilleure technique pour blanchir ses dents à Marseille

Le blanchiment dentaire est une procédure non invasive permettant d’éclaircir la teinte naturelle des dents et d’augmenter leur luminosité. Au Cabinet Dentaire Maupassant à Marseille 13008 (Prado)...
En savoir plus
Dents plus blanches après blanchiment dentaire professionnel – résultat réel

Prix du blanchiment dentaire à Marseille

Au Cabinet Dentaire Maupassant, situé à Marseille 13008 (Prado), nos chirurgiens-dentistes proposent des traitements de blanchiment dentaire médical permettant d’éclaircir la teinte ...
En savoir plus
Sourire éclatant 5 ans après un blanchiment dentaire professionnel – Résultat durable à Marseille 13008

Durée du blanchiment dentaire à Marseille : résultats visibles pendant 3 à 5 ans

Vous venez de réaliser un blanchiment dentaire et vous souhaitez savoir combien de temps les résultats vont durer ?En moyenne, un blanchiment dentaire réalisé par un chirurgien-dentiste offre une te...
En savoir plus
Transformation d’une dent foncée en sourire éclatant après blanchiment dentaire professionnel au Cabinet Dentaire Maupassant à Marseille (13008)

Blanchiment dentaire à Marseille : traiter les dents noires ou foncées

D’une manière similaire au blanchiment dentaire, il est possible de traiter la teinte d’une dent colorée isolée, dite dyschromiée. En cas de trauma dentaire, le nerf dentaire peut se nécroser (se...
En savoir plus
Avoir un jolie sourire
Avoir un jolie sourire