Nos archives

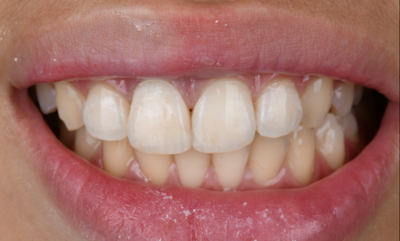
Résultat d'un traitement par greffe gingivale implantologie orthodontie et blanchiment dentaire

Dents abîmées, gencives fragiles et dents manquantes – Traitement complet par Invisalign, implants dentaires et greffe gingivale à Marseille Prado (13)

Mme L., 47 ans, responsable de boutique, était très gênée par son sourire et par son état bucco-dentaire. Elle a consulté le Cabinet Dentaire Maupassant à Marseille Prado (13008) après avoir entendu parler de notre prise en charge de réhabilitations esthétiques et fonctionnelles complexes. Lors d...
En savoir plus
Greffe gingivale Marseille

Avant / Après – Traitement des récessions gingivales et recouvrement radiculaire à Marseille (Bouches-du-Rhône – 13)

Mme L., 45 ans, habitante de Aubagne (13), est venue consulter le Cabinet Dentaire Maupassant à Marseille Prado (13008) pour des récessions gingivales importantes au maxillaire.En plus d’altérer l’esthétique de son sourire, l’exposition des racines provoquait une hypersensibilité dentaire lors de ...
En savoir plus
organisation d’un implant dentaire sous anesthésie générale à Marseille

Sécurité et organisation d’un implant dentaire sous anesthésie générale à Marseille

La réalisation d’un implant dentaire sous anesthésie générale à Marseille répond à un protocole strict. Avant toute intervention, une consultation préopératoire complète est organisée afin d’évaluer votre état de santé général, vos antécédents médicaux et la faisabilité du traitement implantaire. ...
En savoir plus
Iram solido locari poterat sed revocavere solido solido subire iram

Iram solido locari poterat sed revocavere solido solido subire iram

Batnae municipium in Anthemusia conditum Macedonum manu priscorum ab Euphrate flumine brevi spatio disparatur, refertum mercatoribus opulentis.
En savoir plus
Effectu deinde deinde herbidas metu Aboraeque proditus regionem praestitutis effectu flagitii suorum dux egressus celebritati

Effectu deinde deinde herbidas metu Aboraeque proditus regionem praestitutis effectu flagitii suorum dux egressus celebritati

Illud autem non dubitatur quod cum esset aliquando virtutum omnium domicilium Roma, ingenuos advenas plerique nobilium, ut Homerici bacarum suavitate.
En savoir plus
Circumspectum ut omnes set terrarum et suffragiorum tamen terrarum et

Circumspectum ut omnes set terrarum et suffragiorum tamen terrarum et

Superatis Tauri montis verticibus qui ad solis ortum sublimius attolluntur, Cilicia spatiis porrigitur late distentis dives bonis omnibus terra.
En savoir plus
Pose implant dentaire Facettes céramique et Orthodontie invisible Marseille 13

Pose d'implant dentaire Orthodontie invisible facette céramique et traitement parodontaux au cabinet dentaire Maupassant Prado Marseille

Mme B patiente de 69 ans, habitante d’Aubagne (13) et récemment retraitée de la fonction publique territoriale, a consulté le Cabinet Dentaire Maupassant à Marseille Prado (13008) pour corriger un sourire très altéré, tant sur le plan fonctionnel qu’esthétique. N’ayant jamais bénéficié d’un suivi...
En savoir plus
Joli sourire après blanchiment dentaire facette céramique et implant dentaire

Implant dentaire, facette céramique et blanchiment – Patiente de 39 ans à Marseille Prado (Bouches-du-Rhône – 13)

Mme A., 39 ans, habitante de Carry-le-Rouet (13) et professionnelle de la communication, a consulté le Cabinet Dentaire Maupassant à Marseille Prado (13008) pour améliorer l’esthétique de son sourire. Elle présentait une mobilité d’une incisive centrale suite à un traumatisme, une teinte dentaire ...
En savoir plus
Implant dentaire en titane grade V et principes d’ostéo-intégration – Cabinet Dentaire Maupassant à Marseille

Implant dentaire : principes techniques et protocoles chirurgicaux

Un implant dentaire est une racine artificielle en titane destinée à supporter une prothèse fixe, comme une couronne ou un bridge, afin de remplacer une ou plusieurs dents manquantes. Sa mise en place repose sur des principes biologiques précis visant une intégration durable de l’implant dans l’os...
En savoir plus
Après traitement au Cabinet Dentaire Maupassant à Marseille Prado (13) : dents alignées, dents absentes remplacées par des implants, caries traitées avec onlay

Orthodontie invisible (Invisalign), implants dentaires et traitement de la parodontite – Réhabilitation d’un patient de 44 ans à Marseille Prado (Bouches-du-Rhône – 13)

M. C., 44 ans, propriétaire de plusieurs restaurants et habitant Marseille, présentait un encombrement dentaire important, plusieurs dents absentes, une maladie parodontale débutante ainsi que de nombreuses caries. Il souffrait également de douleurs à la mastication, liées à l’inflammation gingiva...
En savoir plus
Dents alignées dents blanches nouveau sourire

Implants dentaires et prothèse fixe sur implant homme de 50 ans au cabinet dentaire Maupassant Prado Marseille 13008

M. P., 50 ans, chef d’agence immobilière, habitant Aubagne (13), souffrait d’une maladie parodontale avancée. Ses dents, très mobiles, l’empêchaient de mastiquer correctement. En contact permanent avec ses clients, il n’osait plus sourire à cause de l’aspect inesthétique de sa dentition. Au Cabin...
En savoir plus
Sourire après réalisation de restaurations en composite esthétique au cabinet dentaire Maupassant Marseille

Reprise de composites esthétiques chez une jeune fille de 13 ans

Mademoiselle B. a consulté le cabinet dentaire Maupassant à Marseille 8ᵉ pour éliminer des colorations brunes sur ses dents, causées par d’anciens composites altérés par les colorants alimentaires. Ces restaurations présentaient aussi des défauts de forme et de surface. Elles ont été remplacées grâce à une technique de stratification composite, utilisant différentes résines pour un rendu naturel. Cette méthode, conservatrice et peu invasive, permet d’améliorer l’esthétique sans abîmer les dents. Le cabinet invite toute personne concernée par ce type de problématique à les contacter pour en savoir plus.
En savoir plus
Résultat après traitement pas facette et couronnes dentaires, orthodontie et implant à Marseille 13008

Facettes dentaires, orthodontie et implantologie pour améliorer le sourire

Cabinet dentaire Maupassant à Marseille (13008) : découvrez des soins dentaires sur mesure avec orthodontie, implants, facettes et couronnes pour un sourire harmonieux et une confiance retrouvée.
En savoir plus
Nos réponses à vos questions les plus fréquentes concernant les facettes dentaires en céramique esthétique posées au cabinet dentaire Maupassant dans le 8ème arrondissement de Marseille

Nos réponses à vos questions les plus fréquentes concernant les facettes dentaires en céramique esthétique posées au cabinet dentaire Maupassant dans le 8ème arrondissement de Marseille

Découvrez les étapes, coûts et avantages des facettes dentaires au cabinet Maupassant à Marseille. Nos chirurgiens-dentistes vous accompagnent pour un sourire éclatant et durable. Contactez-nous pour plus d’informations.
En savoir plus
Sourire après pose de facettes dentaires céramique Marseille 8ème arrondissement

Pose de facettes dentaires en céramique esthétique pour sublimer le sourire à Marseille

Découvrez le cabinet dentaire Maupassant à Marseille, spécialisé dans les facettes esthétiques en céramique pour sublimer votre sourire. Contactez-nous pour des soins de qualité en dentisterie esthétique.
En savoir plus
Fin du traitement par bridge collé et facette céramique

Facette dentaire pour amélioration de l'esthétique du sourire et remplacement de dent manquante par bridge collé céramique au cabinet dentaire Maupassant dans le 8ème arrondissement de Marseille

Le cabinet dentaire Maupassant à Marseille, spécialisé en soins esthétiques dentaires, vous propose des solutions durables et peu invasives pour sublimer votre sourire : facettes en céramique, bridges collés et correction des asymétries dentaires. Prenez rendez-vous dès maintenant pour un accompagnement sur mesure !
En savoir plus
Faire installer une dent prothétique avant la mise en place d’un implant définitif à Marseille dans les Bouches du Rhône

Faire installer une dent prothétique avant la mise en place d’un implant définitif à Marseille dans les Bouches du Rhône

De nombreuses conséquences peuvent survenir suite à un édentement partiel ou total : un manque de confiance en soi, des soucis digestifs dû à un effort important de l’estomac pour la digestion des aliments, des soucis de nutrition. Les patients...
En savoir plus
Pose de dents provisoires avant la mise en place d’implants dentaires définitifs à Marseille dans le 13

Pose de dents provisoires avant la mise en place d’implants dentaires définitifs à Marseille dans le 13

La pose de dents provisoires avant la mise en place d’implants définitifs est une solution alternative au port du dentier. Cette solution vous est proposée par nos chirurgiens-dentistes du Cabinet Sebban et Vartanyan à Marseille. La pose d’implants dentaires est...
En savoir plus
Mise en charge immédiate d’implants dentaires à Marseille dans les Bouches du Rhône par des chirurgiens-dentistes

Mise en charge immédiate d’implants dentaires à Marseille dans les Bouches du Rhône par des chirurgiens-dentistes

Afin de révéler votre plus beau sourire, nos chirurgiens-dentistes à Marseille dans les Bouches du Rhône vous proposent une multitude de solutions en fonction de votre pathologie. Le sourire est un indicateur non-verbal communiquant de nombreuses émotions, plus...
En savoir plus
Solution transitoire au port du dentier avant la pose de l’implant définitif à Marseille dans les Bouches du Rhône

Solution transitoire au port du dentier avant la pose de l’implant définitif à Marseille dans les Bouches du Rhône

Afin de remplacer des dents manquantes à Marseille dans les Bouches du Rhône, nos dentistes du Cabinet dentaire Sebban et Vartanyan proposent une solution transitoire au port du dentier avant la pose de l’implant définitif. Le fait de ne pas détenir...
En savoir plus
Pose d’une dent provisoire au lieu d’un dentier avant un implant dentaire définitif à Marseille dans le 13

Pose d’une dent provisoire au lieu d’un dentier avant un implant dentaire définitif à Marseille dans le 13

Notre cabinet dentaire Maupassant situé à Marseille vous invite à les contacter pour la pose d’une dent définitive au lieu d’un dentier avant un implant dentaire. La pose d’une dent provisoire avant l’implant définitif possède de...
En savoir plus
Solutions pour retrouver un joli sourire quand des dents sont manquantes à Marseille dans le 13

Solutions pour retrouver un joli sourire quand des dents sont manquantes à Marseille dans le 13

Votre sourire ne vous convient pas, vous avez des dents manquantes ? Vous désirez trouver des solutions pour avoir un joli sourire dans le 13. Les dents manquantes provoquent à terme des problèmes de mastication importante, l’estomac se doit de travailler plus en...
En savoir plus
Mise en place de dents provisoires dans la journée avant la pose d’un implant définitif par des chirurgiens-dentistes à Marseille dans le 13

Mise en place de dents provisoires dans la journée avant la pose d’un implant définitif par des chirurgiens-dentistes à Marseille dans le 13

Nos chirurgiens-dentistes à Marseille du Cabinet Sebban et Vartanyan vous invitent à les consulter pour la mise en place de dents provisoires dans la journée à Marseille. Ne pas avoir l’intégralité de sa dentition engendre une multitude de...
En savoir plus
Solution rapide pour remplacer une dent manquante par des chirurgiens spécialisés en dentisterie esthétique lors d’un édentement partiel à Marseille dans le 13

Solution rapide pour remplacer une dent manquante par des chirurgiens spécialisés en dentisterie esthétique lors d’un édentement partiel à Marseille dans le 13

Vous désirez trouver une solution rapide pour remplacer une dent manquante à Marseille ? Nos chirurgiens spécialisés en dentisterie esthétique du Cabinet Sebban et Vartanyan à Marseille vous proposent une solution rapide et de grande...
En savoir plus
Mise en esthétique immédiate pour une dent à Marseille dans les Bouches du Rhône par des professionnels de la dentisterie esthétique

Mise en esthétique immédiate pour une dent à Marseille dans les Bouches du Rhône par des professionnels de la dentisterie esthétique

Nos professionnels de la dentisterie esthétique à Marseille du Cabinet Sebban et Vartanyan vous invitent à les consulter pour une solution efficace afin de retrouver la possibilité de sourire pleinement en toute sérénité, une hygiène buccale...
En savoir plus
Avoir un jolie sourire
Avoir un jolie sourire