Pose d'implant dentaire pas cher à Marseille 13008

Implant dentaire à Marseille – Chirurgie implantaire de haute précision au Cabinet Maupassant

Au Cabinet Dentaire Maupassant à Marseille, la pose d’un implant dentaire est un acte de chirurgie implantaire de haute précision, destiné à remplacer durablement une ou plusieurs dents absentes tout en préservant la santé bucco-dentaire, la fonction masticatoire et l’esthétique de votre sourire.

Chaque traitement implantaire à Marseille repose sur un diagnostic complet, une planification 3D à l’aide d’un scanner Cone Beam et le choix rigoureux du systèmes implantaires de référence (Nobel Biocare, Biotech Dental), afin d’offrir une solution fiable, sécurisée et pérenne, parfaitement adaptée à chaque situation clinique.

Implant dentaire en titane

Qu'est-ce qu'un implant dentaire à Marseille ? Définition, fonctionnement et avantages d'un traitement implantaire

Un implant dentaire est une racine artificielle en titane, fixée dans l'os alvéolaire des maxillaires pour remplacer une dent manquante. Le traitement implantaire permet de restaurer à la fois l’...
En savoir plus
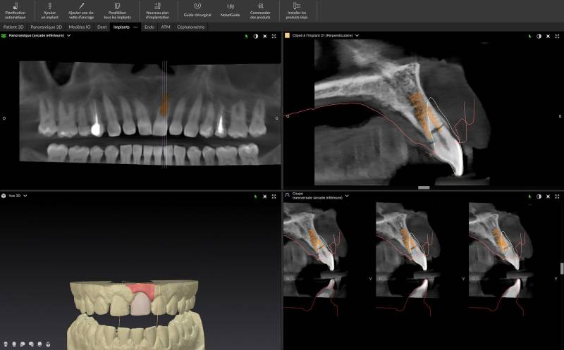
Bilan implantaire à Marseille : analyse 3D Cone Beam et planification précise avant la pose d’un implant dentaire.

Le bilan implantaire à Marseille – Un diagnostic essentiel pour assurer le succès de votre implant dentaire

Le bilan implantaire est une étape essentielle avant toute pose d’implant dentaire à Marseille. Cette consultation permet d’établir un diagnostic précis, de définir le plan de traitement, la planifi...
En savoir plus
Chirurgie implantaire guidée flapless à Marseille : pose d’implants dentaires sans ouverture de la gencive grâce à un guide chirurgical

Chirurgie implantaire guidée flapless à Marseille (sans ouverture de la gencive)

La chirurgie implantaire guidée flapless est une technique moderne permettant de poser des implants dentaires sans ouverture de la gencive, sans incision et sans points de suture. À Marseille, c...
En savoir plus
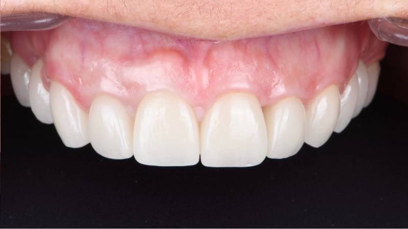
Couronne implantaire en zircone vissée sur l'implant dentaire.

La pose d’un implant dentaire à Marseille – Un protocole chirurgical sûr et maîtrisé au Cabinet Maupassant (13008)

La pose d’un implant dentaire permet de remplacer durablement une dent absente à la suite de caries non soignées, de maladies parodontales ou de traumatismes dentaires. Après une extraction, plu...
En savoir plus
Couronne dentaire vissée sur implant permettant de remplacer une dent absente à Marseille

Mise en place d'une prothèse (couronne ou bridge) sur implant dentaire à Marseille – Réalisation par des chirurgiens-dentistes spécialisés

L'implant dentaire est assimilable à une racine artificielle fixée dans l'os alvéolaire pour remplacer une dent manquante. Il s'agit de la partie immergée de la dent, celle qu'on ne voit pas. La p...
En savoir plus
Extraction dentaire suite problème infectieux

Extraction (avulsion) dentaire avant la pose d’un implant

Lorsqu’aucune de nos thérapeutiques ne permet de restaurer une dent de manière stable et pérenne, ou que sa présence en bouche est un risque pour votre état de santé général, nous avons recours à l’...
En savoir plus
Devis personnalisé pour un implant dentaire à Marseille au Cabinet Dentaire Maupassant

Implant dentaire à Marseille : prix, devis et facteurs qui influencent le coût

Le prix d’un implant dentaire et de la couronne sur implant à Marseille dépend de la complexité du cas et des éléments nécessaires au traitement. L’implant dentaire permet de remplacer durablement u...
En savoir plus
Bilan pré-implantaire à Marseille 13009

Les étapes d’un bilan pré-implantaire par notre cabinet dentaire Maupassant à Marseille

L’implantologie ne s’improvise pas.Pour que la pose de votre implant dentaire présente le meilleur taux de succès et de pérennité, un bilan...
En savoir plus
Questions/ Réponses sur les Implants par nos chirurgiens-dentistes à Marseille

Questions / Réponses sur les Implants Dentaires par nos spécialistes de la dentisterie esthétique à Marseille

Nos spécialistes de la dentisterie esthétique à Marseille répondent aux questions récurrentes posées lors de la première consultation en cabinet.Les...
En savoir plus
implants dentaires Marseille 13009

Implant dentaire sans chirurgie et sans douleur : les propositions des Drs Sebban et Vartanyan, spécialistes à Marseille 13009

Les implants dentaires ont maintenant un recul de 40 ans. Le remplacement d’une dent absente par un implant est une procédure sûre et prévisible. Toutefois,...
En savoir plus
Avant/ Après la pose d'implants dentaires à Marseille

Implants Dentaires : avant/après par des spécialistes de l'implantologie à Marseille 13009

Les Cas Avant/Après d'Implants par les Drs Sebban et Vartanyan, spécialistes à Marseille   Les implants dentaires sont souvent considérés comme une...
En savoir plus
implant dentaire Marseille 8e

Pose d’un implant dentaire à Marseille 13008 par des chirurgiens-dentistes spécialisés

Implant dentaire à Marseille (13008)   L'implant dentaire est une racine artificielle en titane qui va supporter une couronne sur implant.La pose d’implant dentaire a pour...
En savoir plus
Avoir un jolie sourire
Avoir un jolie sourire