Blanchiment des dents pas cher à Prado-Périer, Marseille 8e

Blanchiment des dents pas cher à Prado-Périer, Marseille 8e

Envie d'un sourire plus blanc et plus lumineux sans vous ruiner ? Notre service de blanchiment des dents à petit prix est la solution idéale. Grâce à nos techniques de blanchiment efficaces et sûres, nous vous offrons des résultats visibles rapidement, tout en respectant votre budget. Retrouver un sourire éclatant n'a jamais été aussi simple et abordable. Profitez de notre offre à prix attractifs et redonnez de l'éclat à vos dents dès aujourd'hui !

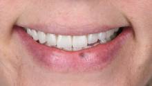
Facettes dentaires céramiques - blanchiment dentaire par dentiste Marseille 13

Facettes céramiques et blanchiment (éclaircissement) dentaire d'une femme de 33 ans réalisé par les dentistes du cabinet dentaire Maupassant à Marseille 13

Mme M., 33 ans, a consulté les chirurgiens-dentistes du cabinet dentaire Maupassant à Marseille, dans les Bouches-du-Rhône (13), pour des raisons à la fois esthétiques et fonctionnelles. Plus jeune, elle s’était fracturée les deux incisives centrales lors d’une chute. Malgré plusieurs restauratio...
En savoir plus
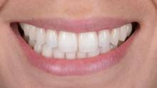
Sourire après traitement au Cabinet Dentaire 13008

Blanchiment, Facette et Couronne tout céramique de la dentition d'un homme de 30 ans au Cabinet Dentaire Maupassant à Marseille

Monsieur G. D., trente ans est venu consulter dans notre Cabinet Dentaire situé dans le 8ème arrondissement de Marseille pour des problèmes esthétiques concernant ses dents de devants.   En effet, suite à un accident de cheval (sport très dangereux !), ses incisives centrale et latérale droites...
En savoir plus
Sourire plus blanc après blanchiment dentaire professionnel à Marseille (13008) – résultats visibles et durables au Cabinet Dentaire Maupassant

Blanchiment dentaire à Marseille : éclaircir efficacement les dents jaunes

Lorsque les dents paraissent trop jaunes, le sourire devient souvent moins spontané. Cette coloration peut être liée au temps, au café, au tabac ou simplement à la teinte naturelle des dents. De nombreux patients consultent pour retrouver un sourire plus blanc et plus lumineux. Au Cabinet Dent...
En savoir plus

Nos prestations sur le secteur de à Prado-Périer, Marseille 8e

facette

Facettes et Blanchiment de la dentition d'un trentenaire au Cabinet Maupassant 13008-13009

Monsieur L., trentenaire est venu nous consulter au sein de notre Cabinet Dentaire à Marseille. Monsieur L. nous a fait part de sa détresse vis à vis de la forme et de la couleur de ses dents. En effet, il trouve ses dents trop jaunes. Nous lui avons proposé un blanchiment dentaire en première in...
En savoir plus
Sourire esthétique dents blanches facette dentaire céramique et dent à pivot (couronne zircone) Martigues

Restauration esthétique d’une dent jaune dévitalisée : blanchiment dentaire et couronne dentaire céramique esthétique

Mme F., 40 ans, résidant à Martigues dans les Bouches-du-Rhône (13), a consulté le Cabinet Dentaire Maupassant à Marseille Prado car elle n’aimait plus son sourire. De nombreux patients de Martigues se rendent dans notre cabinet situé à Marseille Prado pour des soins d’esthétique dentaire et de r...
En savoir plus

Notre zone d'activité pour ce service Blanchiment des dents pas cher

Nouveau sourire après la poste de 6 facettes au sein du Cabinet Dentaire Maupassant 13008

Facettes et Blanchiment de la dentition d'une homme de 45 ans au Cabinet Dentaire Maupassant

Monsieur P.T. , 45 ans est venu consulter au Cabinet Dentaire Maupassant situé dans le quartier de Sainte Anne à Marseille 13008 pour des problèmes esthétiques.   Le patient nous confie qu'il n'ose plus sourire parce qu'il n'aime pas ses dents. En effet, ses dents souffrent de discoloration, ...
En savoir plus

Vous cherchez un cabinet d'esthétique dentaire spécialiste du sourire à Marseille Boulevard Michelet ? Le Cabinet esthétique dentaire Maupassant est le spécialiste en esthétique et implantologie dentaire.
Situé entre le 8e et le 9e arrondissement, ce centre de santé bucco-dentaire saura répondre à vos exigences en terme d’esthétique dentaire (traitement, implantologie, prothèses dentaires, blanchiment etc.)
L’équipe du Cabinet esthétique dentaire Maupassant est constitué de praticiens expérimentés et de professionnels qui sont particulièrement attentifs à vos besoins et vous dispenseront le meilleur des services dentaires en votre faveur. N'hésitez pas à les contacter pour la pose de facettes dentaires pas chères à Marseille Boulevard Michelet, pour toutes demandes d'informations.

Nous écrire
Les champs indiqués par un astérisque (*) sont obligatoires
Avoir un jolie sourire
Avoir un jolie sourire