1. Cabinet Maupassant
  2. Résultats avant/après
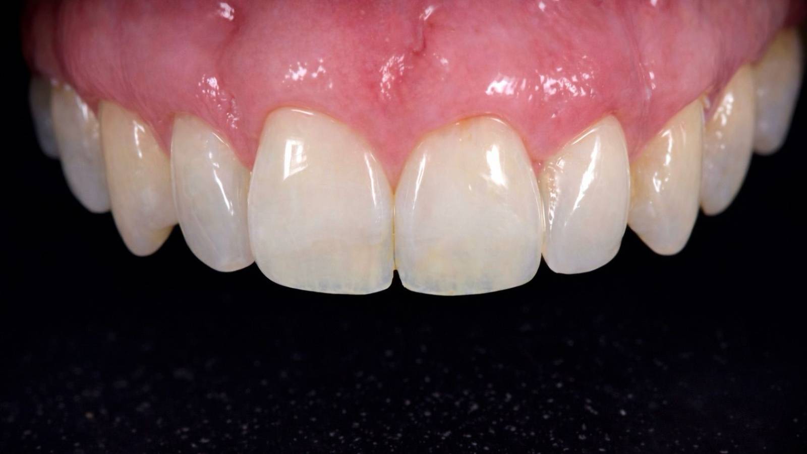
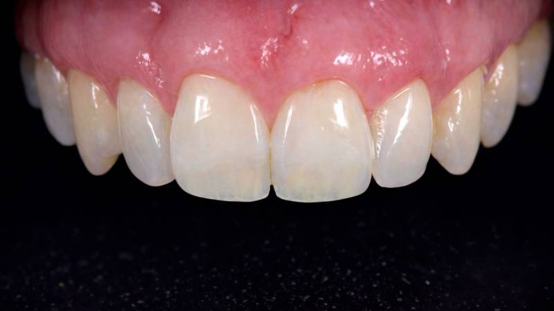
  3. Avant / Après – Traitement des récessions gingivales et recouvrement radiculaire à Marseille (Bouches-du-Rhône – 13)
Retour

Avant / Après – Traitement des récessions gingivales et recouvrement radiculaire à Marseille (Bouches-du-Rhône – 13)

Mme L., 45 ans, habitante de Aubagne (13), est venue consulter le Cabinet Dentaire Maupassant à Marseille Prado (13008) pour des récessions gingivales importantes au maxillaire.
En plus d’altérer l’esthétique de son sourire, l’exposition des racines provoquait une hypersensibilité dentaire lors de l’alimentation et du brossage quotidien, rendant sa routine inconfortable.

Nos chirurgiens-dentistes ont mis en place un traitement parodontal comprenant :

  • Recouvrement radiculaire afin de protéger les racines exposées et limiter l’hypersensibilité

  • Greffe gingivale pour renforcer le parodonte et stabiliser durablement les gencives

  • Suivi personnalisé post-opératoire pour garantir la cicatrisation et maintenir la santé gingivale

Résultats: Un sourire restauré avec une réduction significative de la sensibilité et une meilleure protection des racines. Mme L. a retrouvé confiance et confort au quotidien.

Les soins parodontaux et chirurgicaux réalisés à Marseille (13), accessibles aux patients d’Aubagne, Martigues, Vitrolles, Gardanne et dans tout le département des Bouches-du-Rhône (13).

???? Vous souffrez de récessions gingivales, déchaussement ou hypersensibilité dentaire ? Contactez le Cabinet Dentaire Maupassant à Marseille Prado pour un bilan parodontal complet et personnalisé.

Avoir un jolie sourire
Avoir un jolie sourire