1. Cabinet Maupassant
  2. Facettes
  3. Facettes dentaires, orthodontie et implantologie pour améliorer le sourire
Retour

Facettes dentaires, orthodontie et implantologie pour améliorer le sourire

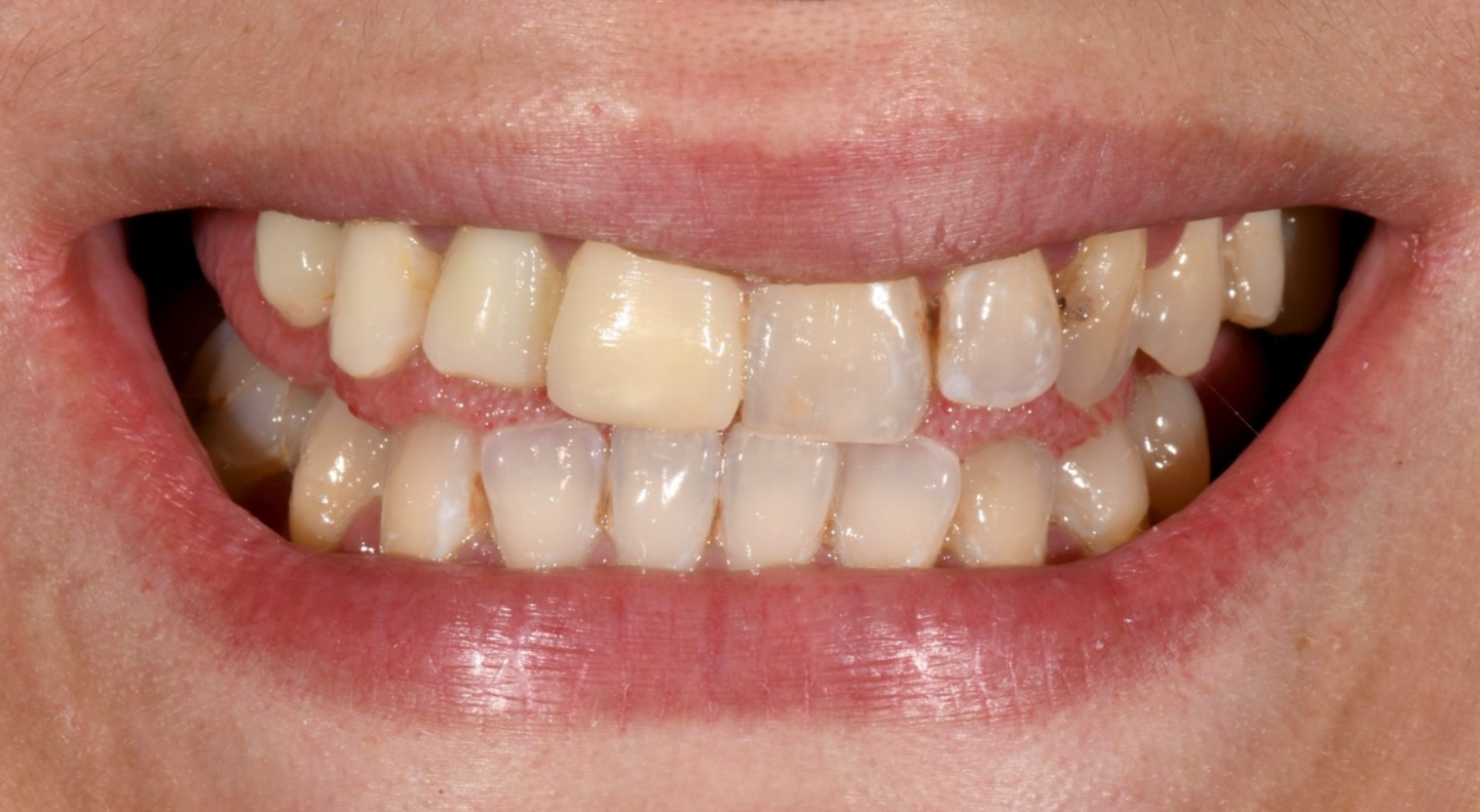
L'expérience de Mme H., 37 ans, au cabinet dentaire Maupassant (13008):

Mme H., âgée de 37 ans, a consulté notre cabinet dentaire à Marseille (13008), situé sur l'avenue du Prado, à la recherche d'un sourire harmonieux. Malgré plusieurs traitements dentaires dans le passé, elle n'avait pas obtenu la satisfaction espérée. Travaillant régulièrement avec des clients, l'esthétique dentaire et son apparence physique étaient des priorités essentielles pour elle.

Après une consultation détaillée dans notre cabinet, nous avons choisi une approche multidisciplinaire pour répondre à ses besoins spécifiques : orthodontie pour réaligner ses dents, implants dentaires pour remplacer les dents manquantes, ainsi que des facettes dentaires et des couronnes dentaires pour restaurer l’esthétique de son sourire.

Le résultat ? Un sourire éclatant et une confiance retrouvée.

Dans notre cabinet dentaire, chaque patient bénéficie d’une prise en charge personnalisée, combinant expertise dentaire et technologie de pointe pour garantir des résultats à la hauteur de vos attentes.

N'hésiter pas à vous rapprocher de nous via le formulaire de contact ou en nous appelant au 04 69 00 14 78.

Avoir un jolie sourire
Avoir un jolie sourire