1. Cabinet Maupassant
  2. Résultats avant/après
  3. Reprise de composites esthétiques chez une jeune fille de 13 ans
Retour

Reprise de composites esthétiques chez une jeune fille de 13 ans

Voici une reformulation du texte avec les mots importants en gras :


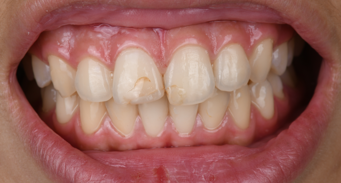
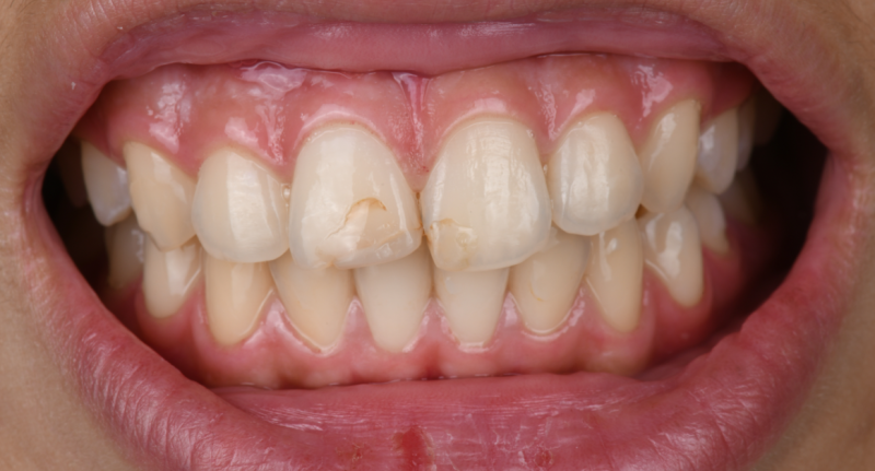
Mademoiselle B. s’est présentée au cabinet dentaire Maupassant, situé dans le 8ᵉ arrondissement de Marseille, dans le but de supprimer les colorations brunes visibles sur ses dents antérieures.

Ces taches étaient localisées sur d’anciens composites, qui se sont infiltrés et imprégnés progressivement des colorants alimentaires au fil du temps.

Outre ce défaut de teinte, on constatait également un défaut de forme ainsi qu’un état de surface irrégulier.

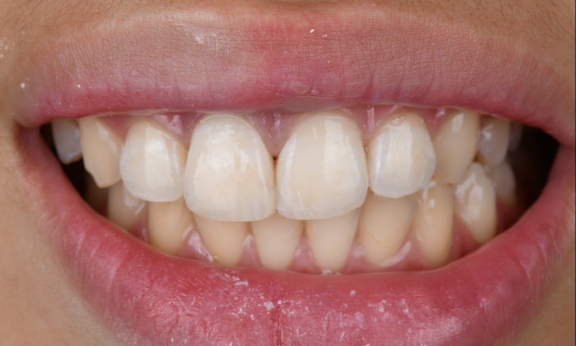
Les composites ont donc été déposés, puis les dents ont été restaurées à l’aide d’une technique de stratification du composite : l’utilisation de plusieurs résines émail et dentine a permis de restituer un aspect naturel.

La restauration esthétique en composite est une technique conservatrice, qui ne requiert aucun délabrement dentaire : c’est un exemple de dentisterie minimalement invasive.

Si vous aussi êtes complexé(e) par de vieilles restaurations composites altérées par le temps et souhaitez en savoir plus sur la stratification composite, contactez le cabinet dentaire Maupassant (Marseille 8ᵉ) au 04 69 00 14 78. Nous serons ravis de vous accueillir.

Avoir un jolie sourire
Avoir un jolie sourire