1. Cabinet Maupassant
  2. Résultats avant/après
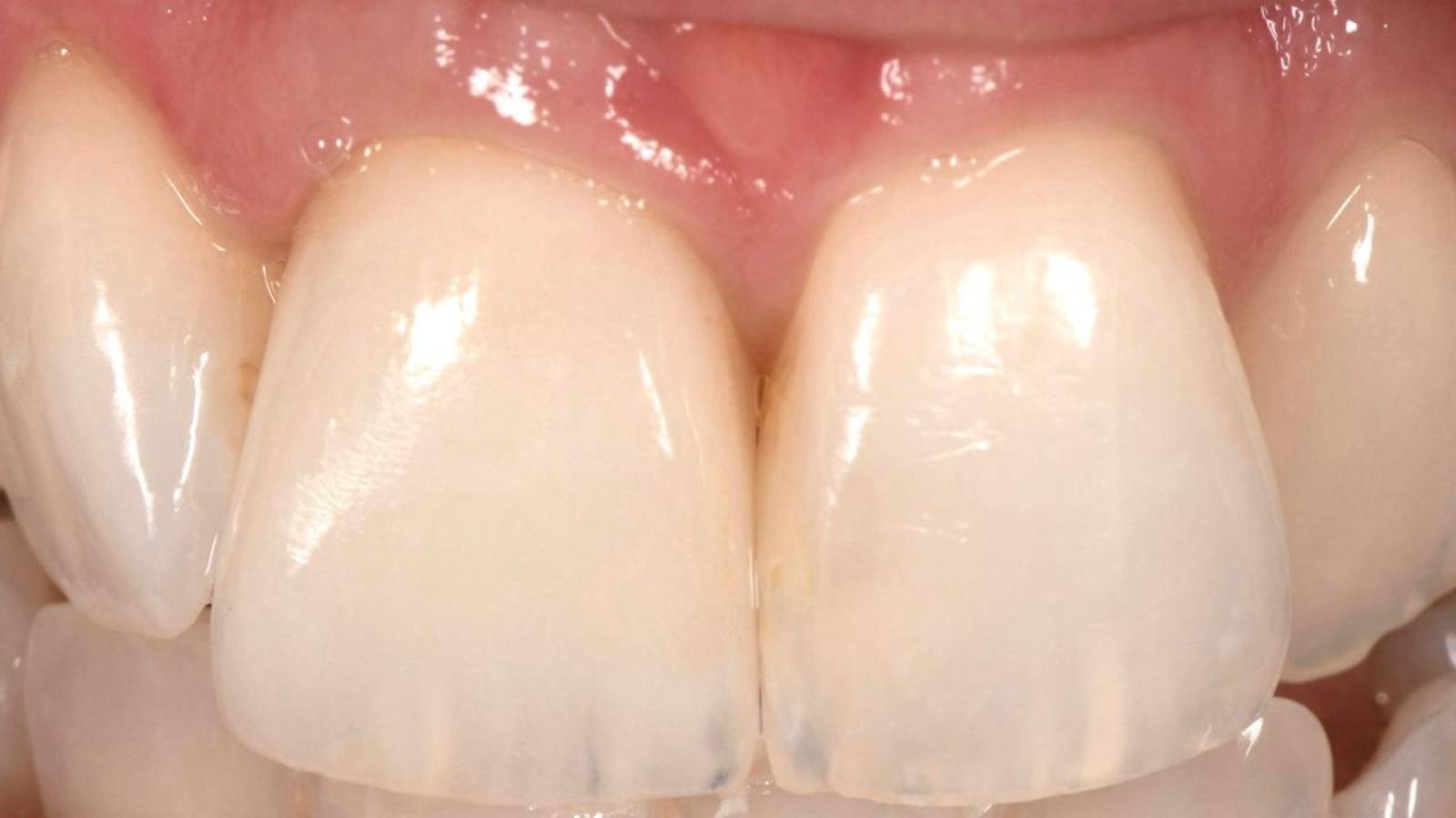
  3. Restauration esthétique d’une dent jaune dévitalisée : blanchiment dentaire et couronne dentaire céramique esthétique
Retour

Restauration esthétique d’une dent jaune dévitalisée : blanchiment dentaire et couronne dentaire céramique esthétique

Mme F., 40 ans, résidant à Martigues dans les Bouches-du-Rhône (13), a consulté le Cabinet Dentaire Maupassant à Marseille Prado car elle n’aimait plus son sourire.

De nombreux patients de Martigues se rendent dans notre cabinet situé à Marseille Prado pour des soins d’esthétique dentaire et de réhabilitation du sourire. Mme F. faisait partie de ces patients en quête d’une solution durable, esthétique et parfaitement adaptée à leur visage.

À l’examen clinique, son incisive centrale dévitalisée présentait une dent jaune très visible, et plusieurs composites anciens cariés altéraient l’harmonie globale. La perte de substance dentaire et la reprise de carie rendaient impossible la pose d’une simple facette dentaire céramique.

Un plan de traitement personnalisé a été réalisé au Cabinet Dentaire Maupassant à Marseille :

  • Blanchiment dentaire externe (éclaircissement dentaire) pour uniformiser la teinte globale du sourire.

  • Blanchiment dentaire interne ciblé sur l’incisive centrale très jaunie afin d’éclaircir la dent de l’intérieur.

  • Restauration définitive de cette dent par une couronne céramique esthétique Emax collée sur un inlay-core céramique (dent à pivot), garantissant une intégration naturelle, une grande solidité et une biocompatibilité parfaite.

Ce traitement, réalisé pour cette patiente venue de Martigues, par les chirurgiens-dentistes du Cabinet Dentaire Maupassant à Marseille Prado, redonne un sourire harmonieux, lumineux et durable, parfaitement intégré et en accord avec son visage.

Avoir un jolie sourire
Avoir un jolie sourire