Tarif implants dentaires pour remplacer son dentier à Marseille 13008

Tarif implants dentaires pour remplacer son dentier à Marseille 13008
Implant dentaire avec greffe osseuse à Marseille 8e par un cabinet dentaire spécialisé

Implant dentaire avec greffe osseuse à Marseille 8e par un cabinet dentaire spécialisé

Notre cabinet dentaire Maupassant vous accueille dans le 8e arrondissement de la ville de Marseille pour votre opération d'implant dentaire avec greffe osseuse. Nous sommes ouvert de 8h du matin à 20h le soir non stop pour vous accompagner à travers les différents...
En savoir plus
Implants, Couronnes Tout Céramique

Implants, Traitement de la Maladie Parodontale, Couronnes Tout Céramique chez une femme de 80 ans au Cabinet Dentaire Maupassant

Madame C. R. nous consulte au Cabinet Dentaire Maupassant car elle est gênée pour manger et sourire. Madame C. R. a 75 ans et souhaite améliorer sa santé buco-dentaire. Elle est au courant que des maladies générales telles que le diabète et les maladies cardio-vasculaires sont liées à l’état de ...
En savoir plus
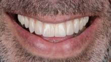
Pose d'une couronne en céramique sur un implant à Marseille

Mise en place d’une couronne en céramique sur un implant dentaire à Marseille

La dernière étape d'un implant dentaire est la mise en place de la couronne sur implant dentaire. Celle-ci survient après essayage et des réglages précise et consiste à visser la couronne sur l'implant. Cette opération est...
En savoir plus

Nos prestations sur le secteur de à Marseille 13008

Dents alignées dents blanches nouveau sourire

Implants dentaires et prothèse fixe sur implant homme de 50 ans au cabinet dentaire Maupassant Prado Marseille 13008

M. P., 50 ans, chef d’agence immobilière, habitant Aubagne (13), souffrait d’une maladie parodontale avancée. Ses dents, très mobiles, l’empêchaient de mastiquer correctement. En contact permanent avec ses clients, il n’osait plus sourire à cause de l’aspect inesthétique de sa dentition. Au Cabin...
En savoir plus
Facettes, Implants et Greffes au Cabinet Dentaire Maupassant Marseille

Facettes et implant chez femme 70 ans sur Marseille 13008

Madame F.L. 70 ans est venu consulter au cabinet dentaire Maupassant 13008 à Marseille pour résoudre ses problèmes esthétiques et fonctionnelles. De nature joviale son sourire s’est altéré au fil du temps. Par peur que ses dents tombent (dents extrêmement mobiles) elle n’ose plus croquer d’aliment...
En savoir plus

Notre zone d'activité pour ce service Tarif implants dentaires pour remplacer son dentier

Implant dentaire en titane

Qu'est-ce qu'un implant dentaire à Marseille ? Définition, fonctionnement et avantages d'un traitement implantaire

Un implant dentaire est une racine artificielle en titane, fixée dans l'os alvéolaire des maxillaires pour remplacer une dent manquante. Le traitement implantaire permet de restaurer à la fois l’esthétique et la fonction masticatoire d’une dent. Une fois l’implant cicatrisé (ostéo-intégré), une co...
En savoir plus

Vous cherchez un cabinet d'esthétique dentaire spécialiste du sourire à Marseille Boulevard Michelet ? Le Cabinet esthétique dentaire Maupassant est le spécialiste en esthétique et implantologie dentaire.
Situé entre le 8e et le 9e arrondissement, ce centre de santé bucco-dentaire saura répondre à vos exigences en terme d’esthétique dentaire (traitement, implantologie, prothèses dentaires, blanchiment etc.)
L’équipe du Cabinet esthétique dentaire Maupassant est constitué de praticiens expérimentés et de professionnels qui sont particulièrement attentifs à vos besoins et vous dispenseront le meilleur des services dentaires en votre faveur. N'hésitez pas à les contacter pour la pose de facettes dentaires pas chères à Marseille Boulevard Michelet, pour toutes demandes d'informations.

Nous écrire
Les champs indiqués par un astérisque (*) sont obligatoires
Avoir un jolie sourire
Avoir un jolie sourire