1. Cabinet Maupassant
  2. Résultats avant/après
  3. Facettes, blanchiment et implants pour traiter agénésie Marseille 13009
Retour

Facettes, blanchiment et implants pour traiter agénésie Marseille 13009

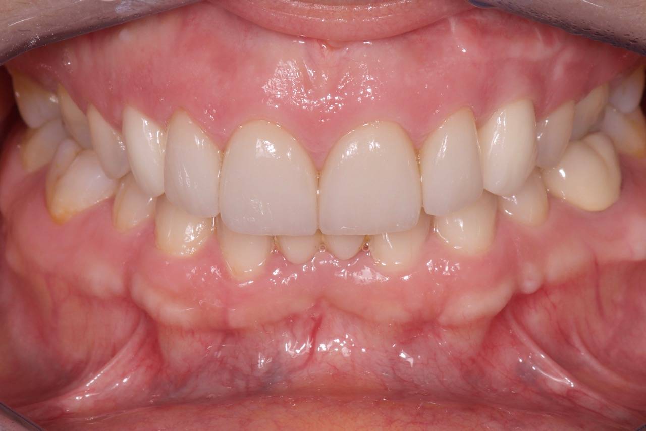
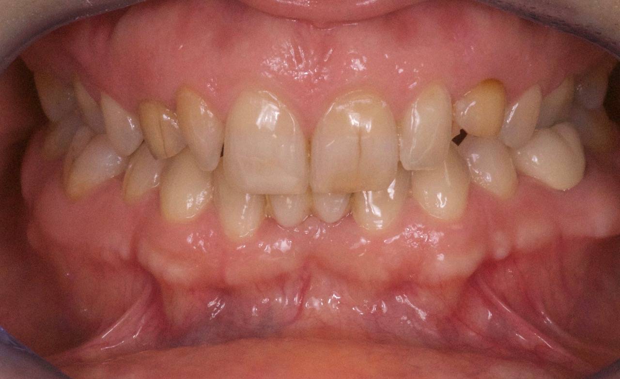
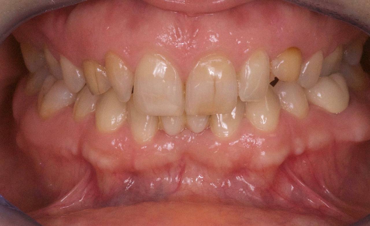
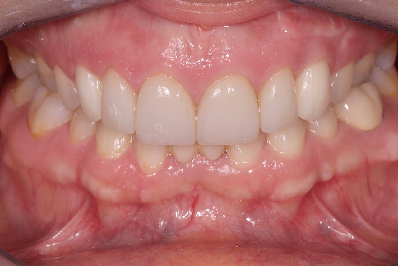
Mme C. vient nous consulter au cabinet dentaire Maupassant 13009 Marseille pour améliorer son sourire et traiter l'angoisse de perdre ses dents de lait.
En effet elle souffre d'agénésie des canines (absence des dents définitives).
Après analyse de son sourire, nous avons proposer à Mme C. des facettes, un blanchiment, des implants nécessitant des greffes osseuses. 
A la fin de son traitement Mme C. a retrouvé confiance en son sourire, et se permet de croquer la vie à pleine dent.
Avoir un jolie sourire
Avoir un jolie sourire