1. Cabinet Maupassant
  2. Résultats avant/après
  3. Reconstruction Dentaire Complète d'un homme de 60 ans au Cabinet Dentaire Maupassant
Retour

Reconstruction Dentaire Complète d'un homme de 60 ans au Cabinet Dentaire Maupassant

Monsieur N. E. est un sexagénaire, tout jeune retraité et globe trotter !

Monsieur N. E. nous consulte au Cabinet Dentaire Maupassant pour améliorer l’aspect général de son sourire et améliorer son confort et sa santé bucco-dentaire.

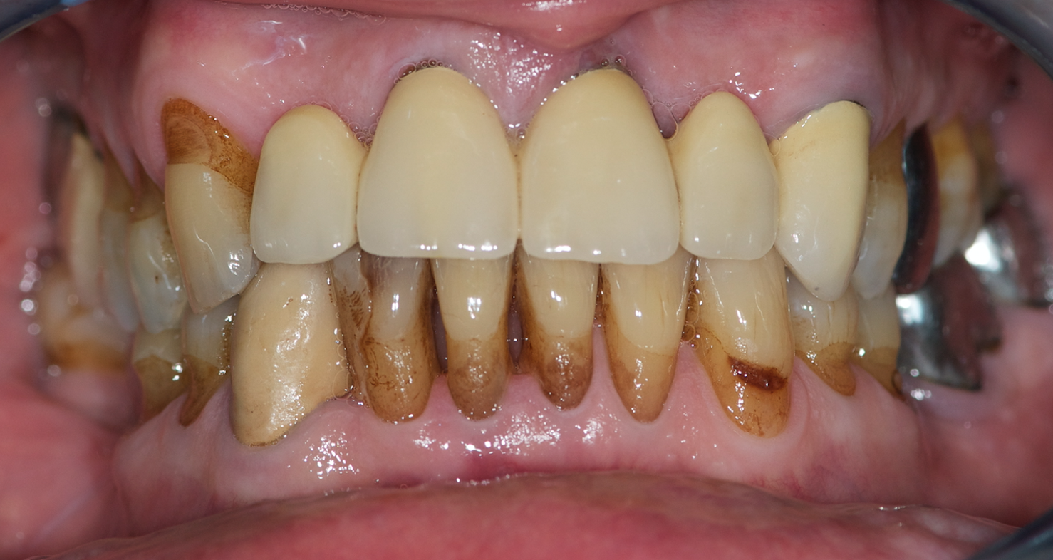
Il nous explique que le bridge des dents de devant ne tient plus et qu’il souhaite le remplacer.

On constate lors de la consultation que les dents supports ne peuvent plus être gardées car elles sont très infectées.

Des dents sont également absentes en haut et en bas.

Les dents du bas sont particulièrement colorées et mal placées.

Monsieur N. E. est dynamique et souhaite que son sourire soit en rapport avec son caractère. 

Lors de la consultation, on diagnostique également une maladie parodontale (parodontite).

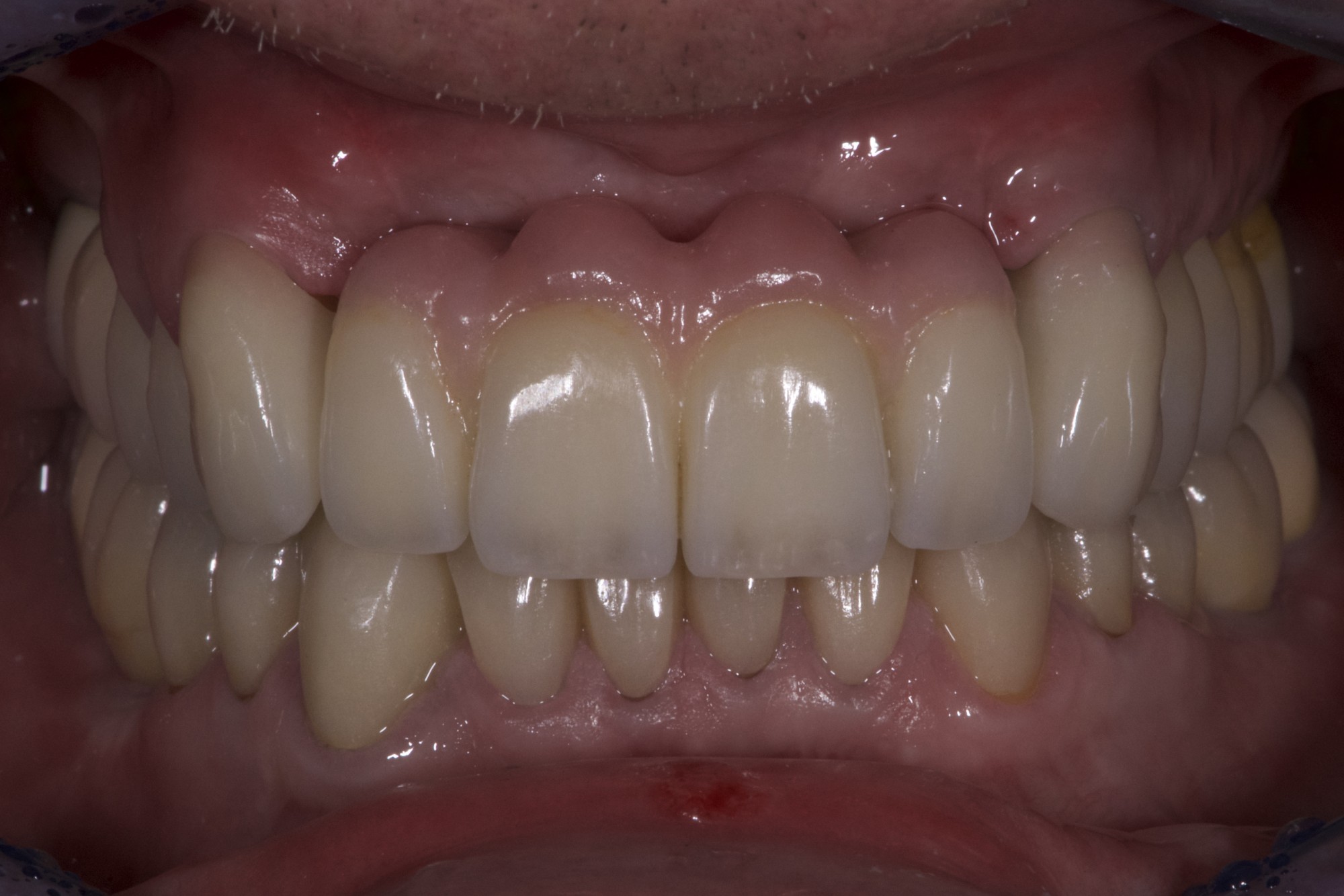
Après discussion, nous retenons avec Monsieur N. E. du plan de traitement suivant : Traitement de la Maladie Parodontale, Facettes, Couronnes Tout Céramique, Bridges, Implants (Laboratoire Lai Dental Excellence).

La prise en charge est globale pour Monsieur N. et va durer un peu plus d’un an.

Durant tout ce temps, Monsieur N. avait des prothèses provisoires avec lesquelles il pouvait manger et sourire pleinement.

 

A la fin du traitement, Monsieur N. est pleinement satisfait. Il a retrouvé une bouche saine, une mastication plus efficace et un plus beau sourire !

Avoir un jolie sourire
Avoir un jolie sourire