Cabinet d'orthodontie pour adultes et enfants vers Cassis et La Ciotat

Cabinet d'orthodontie pour adultes et enfants vers Cassis et La Ciotat

Notre cabinet d'orthodontie propose des traitements personnalisés pour adultes et enfants, adaptés à chaque âge et à chaque besoin. Nous utilisons des technologies de pointe pour traiter une large gamme de problématiques, en offrant des solutions efficaces et discrètes.

Exemples de problématiques que nous corrigeons :

  • Dents mal alignées : que ce soit pour des dents de lait ou des dents permanentes, nous corrigeons les alignements pour obtenir un sourire harmonieux.
  • Espaces entre les dents : pour combler les espaces gênants ou non esthétiques, nous utilisons des appareils discrets et adaptés à chaque patient.
  • Mâchoire supérieure ou inférieure trop avancée ou trop reculée : nous rééquilibrons les mâchoires pour améliorer la fonction masticatoire et l'esthétique du visage.
  • Problèmes de morsure : tels que la morsure croisée, la morsure ouverte ou la surplomb dentaire, qui peuvent entraîner des douleurs et des déséquilibres dans l’occlusion.
  • Orthodontie préventive pour les enfants : correction des problèmes de croissance de la mâchoire afin de prévenir des complications futures.
  • Traitements discrets pour adultes : appareils invisibles comme les gouttières transparentes pour redresser les dents sans compromettre l’esthétique pendant le traitement.

Nos soins sont réalisés dans un environnement moderne et confortable, avec un suivi personnalisé pour garantir un résultat optimal. Offrez à votre famille un sourire fonctionnel et esthétique, en toute confiance.

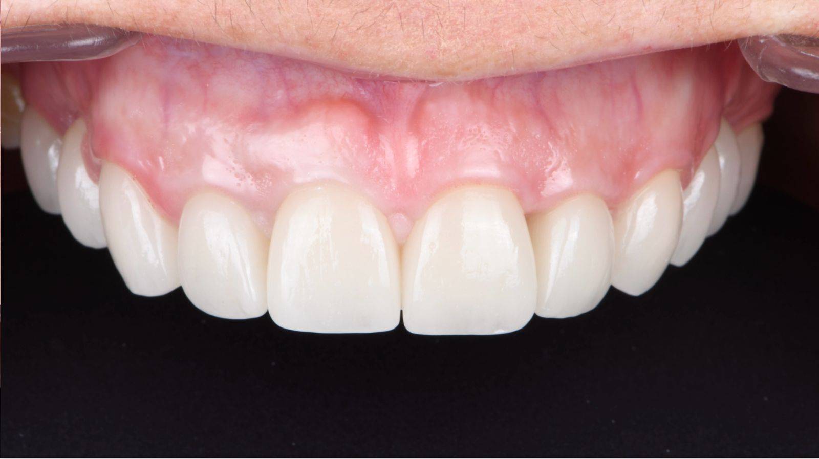
Pose implant dentaire Facettes céramique et Orthodontie invisible Marseille 13

Pose d'implant dentaire Orthodontie invisible facette céramique et traitement parodontaux au cabinet dentaire Maupassant Prado Marseille

Mme B patiente de 69 ans, habitante d’Aubagne (13) et récemment retraitée de la fonction publique territoriale, a consulté le Cabinet Dentaire Maupassant à Marseille Prado (13008) pour corriger un sourire très altéré, tant sur le plan fonctionnel qu’esthétique. N’ayant jamais bénéficié d’un suivi...
En savoir plus
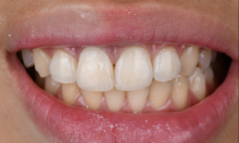
Mon sourire après les facettes grâce au Cabinet Dentaire Maupassant 13008

Blanchiment, Gingivectomie et Facettes de la dentition d'une femme de 30 ans au Cabinet Dentaire Maupassant

Madame G. E. est une jeune femme de 30 ans, elle consulte les Docteurs Sebban et Vartanyan à Marseille pour améliorer son sourire. En effet, elle souffre de la forme de ses incisives centrales dont la surface a été abimée par l'orthodontie. Elle trouve également ses latérales trop petites.Suite à ...
En savoir plus
Solutions pour retrouver un joli sourire quand des dents sont manquantes à Marseille dans le 13

Solutions pour retrouver un joli sourire quand des dents sont manquantes à Marseille dans le 13

Votre sourire ne vous convient pas, vous avez des dents manquantes ? Vous désirez trouver des solutions pour avoir un joli sourire dans le 13. Les dents manquantes provoquent à terme des problèmes de mastication importante, l’estomac se doit de travailler plus en...
En savoir plus

Nos prestations sur le secteur de vers Cassis et La Ciotat

Sourire après réalisation de restaurations en composite esthétique au cabinet dentaire Maupassant Marseille

Reprise de composites esthétiques chez une jeune fille de 13 ans

Mademoiselle B. a consulté le cabinet dentaire Maupassant à Marseille 8ᵉ pour éliminer des colorations brunes sur ses dents, causées par d’anciens composites altérés par les colorants alimentaires. Ces restaurations présentaient aussi des défauts de forme et de surface. Elles ont été remplacées grâce à une technique de stratification composite, utilisant différentes résines pour un rendu naturel. Cette méthode, conservatrice et peu invasive, permet d’améliorer l’esthétique sans abîmer les dents. Le cabinet invite toute personne concernée par ce type de problématique à les contacter pour en savoir plus.
En savoir plus
Solution pour avoir un nouveau sourire sans souffrir par des professionnels de la dentisterie esthétique à Marseille

Solution pour avoir un nouveau sourire sans souffrir par des professionnels de la dentisterie esthétique à Marseille

Plusieurs solutions existent pour obtenir un nouveau sourire… En fonction de votre pathologie : dents écartées, dents colorées, gencives trop importantes, dents mal alignées ; nos chirurgiens-dentistes vous proposeront la solution adéquate pour obtenir...
En savoir plus

Notre zone d'activité pour ce service Cabinet d'orthodontie pour adultes et enfants

Nouveau sourire esthétique avec les facettes céramiques

Facettes céramiques, implants dentaires et couronnes céramiques d'une patiente trentenaire au Cabinet dentaire Maupassant 13008

Madame S., une patiente trentenaire, est venue consulter au sein de notre Cabinet Dentaire à Marseille (13008) en exprimant une véritable détresse vis-à-vis de son sourire et de sa santé bucco-dentaire. Certaines de ses dents étaient condamnées, de nombreuses couronnes présentaient des défauts, se...
En savoir plus

Vous cherchez un cabinet d'esthétique dentaire spécialiste du sourire à Marseille Boulevard Michelet ? Le Cabinet esthétique dentaire Maupassant est le spécialiste en esthétique et implantologie dentaire.
Situé entre le 8e et le 9e arrondissement, ce centre de santé bucco-dentaire saura répondre à vos exigences en terme d’esthétique dentaire (traitement, implantologie, prothèses dentaires, blanchiment etc.)
L’équipe du Cabinet esthétique dentaire Maupassant est constitué de praticiens expérimentés et de professionnels qui sont particulièrement attentifs à vos besoins et vous dispenseront le meilleur des services dentaires en votre faveur. N'hésitez pas à les contacter pour la pose de facettes dentaires pas chères à Marseille Boulevard Michelet, pour toutes demandes d'informations.

Nous écrire
Les champs indiqués par un astérisque (*) sont obligatoires
Avoir un jolie sourire
Avoir un jolie sourire