1. Cabinet Maupassant
  2. blanchiment dentaire
  3. Blanchiment dentaire à Marseille : solutions efficaces pour éclaircir les dents jaunes
Retour

Blanchiment dentaire à Marseille : solutions efficaces pour éclaircir les dents jaunes

Vous trouvez que vos dents ne sont pas assez blanches et que votre sourire manque d’éclat ? De nombreux patients souhaitent améliorer l’esthétique de leur sourire à l’approche d’un événement important, d’une cérémonie, d’un mariage ou simplement pour se sentir plus à l’aise au quotidien.

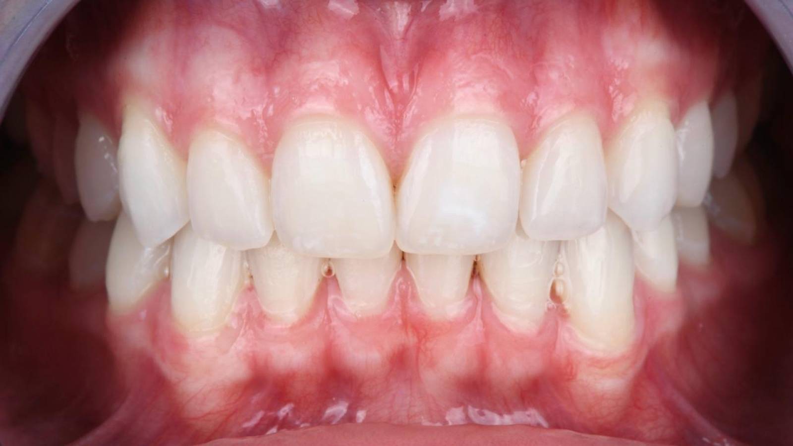
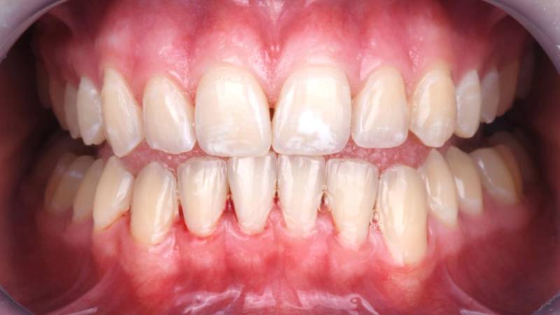
Le blanchiment dentaire est une solution esthétique efficace pour éclaircir la teinte des dents et retrouver un sourire plus lumineux. Réalisé par des professionnels de la dentisterie esthétique, ce traitement permet d’obtenir un résultat naturel et harmonieux.

Au Cabinet Dentaire Maupassant à Marseille, le blanchiment dentaire est réalisé après un bilan préalable. Celui-ci permet de vérifier l’absence de caries ou de problèmes infectieux et, si nécessaire, d’effectuer un détartrage afin d’optimiser l’efficacité du traitement. Des empreintes peuvent également être réalisées pour la fabrication de gouttières de blanchiment sur mesure.

Le traitement repose généralement sur un blanchiment dentaire ambulatoire, réalisé à domicile à l’aide de gouttières personnalisées. Le produit est appliqué directement dans les gouttières, portées pendant une période moyenne de 8 à 14 jours, modulable selon la réaction des dents et l’intensité du blanc souhaité.

Pendant toute la durée du traitement, il est recommandé de limiter les aliments et boissons colorants (café, thé, vin rouge, tabac) et de maintenir une hygiène bucco-dentaire rigoureuse afin de préserver l’éclat du sourire.

L’équipe de chirurgiens-dentistes du Cabinet Maupassant à Marseille reste à votre disposition pour vous accompagner et vous fournir toutes les informations nécessaires concernant le blanchiment dentaire esthétique.

Pour toute demande d’information sur la réalisation d’un blanchiment dentaire à Marseille, vous pouvez contacter le cabinet au 04 69 00 14 78 ou via notre formulaire de contact.

 
Avoir un jolie sourire
Avoir un jolie sourire