Cabinet dentaire esthétique pour blanchiment des dents sans les abîmer à Marseille 13007

Cabinet dentaire esthétique pour blanchiment des dents sans les abîmer à Marseille 13007

Notre cabinet dentaire esthétique vous propose un blanchiment des dents efficace et sans risque d'abîmer l'émail. Grâce à des techniques modernes et des produits professionnels de haute qualité, nous vous offrons un résultat visible rapidement tout en préservant la santé de vos dents.

Que ce soit pour éliminer les taches causées par l'alimentation, le tabac ou le vieillissement, notre approche permet de redonner à vos dents leur éclat naturel sans compromettre leur intégrité. Nous utilisons des méthodes douces  et personnalisées pour éclaicir vos dents, garantissant un traitement sûr et agréable. Retrouvez un sourire lumineux, sain et naturel, tout en conservant vos dents intactes. Nous intervenons aussi sur les dents qui ont noirci ou qui sont dévitalisées.

Faites confiance à notre expertise pour un blanchiment des dents réussi, respectueux de vos dents et de votre santé bucco-dentaire.

Dents très jaunes et colorations dentaires avant traitement

Dents jaunes à Marseille : quelles solutions de blanchiment pour les éclaircir durablement

J'ai les dents trop jaunes, quelles sont les solutions pour blanchir? Vous trouvez vos dents trop jaunes et vous vous demandez quelles solutions existent pour améliorer leur couleur ? La teinte des dents représente aujourd’hui l’une des premières demandes esthétiques en cabinet dentaire. Avec le...
En savoir plus
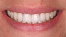
Dents plus blanches après blanchiment dentaire professionnel – résultat réel

Prix du blanchiment dentaire à Marseille

Au Cabinet Dentaire Maupassant, situé à Marseille 13008 (Prado), nos chirurgiens-dentistes proposent des traitements de blanchiment dentaire médical permettant d’éclaircir la teinte des dents en toute sécurité, grâce à des protocoles strictement contrôlés. Le coût d’un blanchiment ...
En savoir plus
Transformation d’une dent foncée en sourire éclatant après blanchiment dentaire professionnel au Cabinet Dentaire Maupassant à Marseille (13008)

Blanchiment dentaire à Marseille : traiter les dents noires ou foncées

D’une manière similaire au blanchiment dentaire, il est possible de traiter la teinte d’une dent colorée isolée, dite dyschromiée. En cas de trauma dentaire, le nerf dentaire peut se nécroser (se mortifier), entraînant un assombrissement progressif de la dent concernée.Les dents dévitalisé...
En savoir plus

Nos prestations sur le secteur de à Marseille 13007

Facettes dentaires Marseille Prado 13008 Bouche du Rhônes

Orthodontie blanchiment dentaire et facette céramique au cabinet dentaire Maupassant 13008 Marseille bouche du rhône 13

Orthodontie, blanchiment dentaire et facettes céramiques à Marseille Prado (Bouches-du-Rhône – 13) Mr M., 37 ans, infirmier, était très complexé par son sourire. Il a consulté le Cabinet Dentaire Maupassant à Marseille Prado (13008) avec l’objectif d’améliorer l’esthétique de ses dents et de retr...
En savoir plus
dents nettement plus lumineuses après blanchiment dentaire à Marseille (13008) – résultats visibles et durables

Blanchiment dentaire à Marseille : retrouver un sourire plus blanc

Vous trouvez vos dents trop jaunes, ternes ou foncées ? Le blanchiment dentaire est aujourd’hui la solution la plus fiable et la plus efficace pour retrouver un sourire lumineux.Au Cabinet Dentaire Maupassant, à Marseille 13008 (Prado), nos chirurgiens-dentistes spécialisés en esthétique vous ac...
En savoir plus

Notre zone d'activité pour ce service Cabinet dentaire esthétique pour blanchiment des dents sans les abîmer

Joli sourire après blanchiment dentaire facette céramique et implant dentaire

Implant dentaire, facette céramique et blanchiment – Patiente de 39 ans à Marseille Prado (Bouches-du-Rhône – 13)

Mme A., 39 ans, habitante de Carry-le-Rouet (13) et professionnelle de la communication, a consulté le Cabinet Dentaire Maupassant à Marseille Prado (13008) pour améliorer l’esthétique de son sourire. Elle présentait une mobilité d’une incisive centrale suite à un traumatisme, une teinte dentaire ...
En savoir plus

Vous cherchez un cabinet d'esthétique dentaire spécialiste du sourire à Marseille Boulevard Michelet ? Le Cabinet esthétique dentaire Maupassant est le spécialiste en esthétique et implantologie dentaire.
Situé entre le 8e et le 9e arrondissement, ce centre de santé bucco-dentaire saura répondre à vos exigences en terme d’esthétique dentaire (traitement, implantologie, prothèses dentaires, blanchiment etc.)
L’équipe du Cabinet esthétique dentaire Maupassant est constitué de praticiens expérimentés et de professionnels qui sont particulièrement attentifs à vos besoins et vous dispenseront le meilleur des services dentaires en votre faveur. N'hésitez pas à les contacter pour la pose de facettes dentaires pas chères à Marseille Boulevard Michelet, pour toutes demandes d'informations.

Nous écrire
Les champs indiqués par un astérisque (*) sont obligatoires
Avoir un jolie sourire
Avoir un jolie sourire