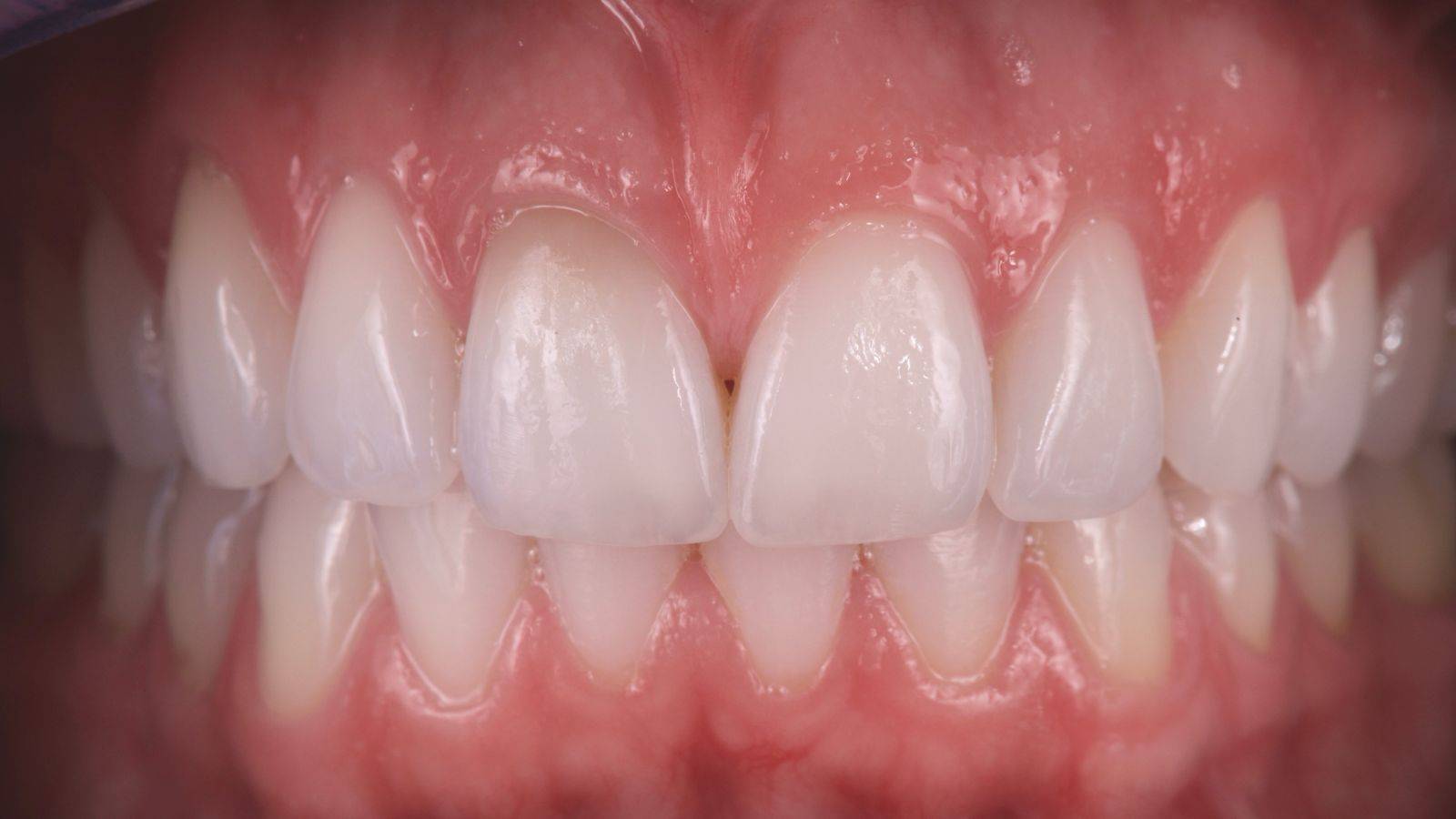
Cabinet dentaire esthétique pour blanchiment des dents sans les abîmer à Marseille 13008

Cabinet dentaire esthétique pour blanchiment des dents sans les abîmer à Marseille 13008

Notre cabinet dentaire esthétique vous propose un blanchiment des dents efficace et sans risque d'abîmer l'émail. Grâce à des techniques modernes et des produits professionnels de haute qualité, nous vous offrons un résultat visible rapidement tout en préservant la santé de vos dents.

Que ce soit pour éliminer les taches causées par l'alimentation, le tabac ou le vieillissement, notre approche permet de redonner à vos dents leur éclat naturel sans compromettre leur intégrité. Nous utilisons des méthodes douces  et personnalisées pour éclaicir vos dents, garantissant un traitement sûr et agréable. Retrouvez un sourire lumineux, sain et naturel, tout en conservant vos dents intactes. Nous intervenons aussi sur les dents qui ont noirci ou qui sont dévitalisées.

Faites confiance à notre expertise pour un blanchiment des dents réussi, respectueux de vos dents et de votre santé bucco-dentaire.

Joli sourire après blanchiment dentaire facette céramique et implant dentaire

Implant dentaire, facette céramique et blanchiment – Patiente de 39 ans à Marseille Prado (Bouches-du-Rhône – 13)

Mme A., 39 ans, habitante de Carry-le-Rouet (13) et professionnelle de la communication, a consulté le Cabinet Dentaire Maupassant à Marseille Prado (13008) pour améliorer l’esthétique de son sourire. Elle présentait une mobilité d’une incisive centrale suite à un traumatisme, une teinte dentaire ...
En savoir plus
Mon sourire après les facettes grâce au Cabinet Dentaire Maupassant 13008

Blanchiment, Gingivectomie et Facettes de la dentition d'une femme de 30 ans au Cabinet Dentaire Maupassant

Madame G. E. est une jeune femme de 30 ans, elle consulte les Docteurs Sebban et Vartanyan à Marseille pour améliorer son sourire. En effet, elle souffre de la forme de ses incisives centrales dont la surface a été abimée par l'orthodontie. Elle trouve également ses latérales trop petites.Suite à ...
En savoir plus
Facettes dentaires céramiques - blanchiment dentaire par dentiste Marseille 13

Facettes céramiques et blanchiment (éclaircissement) dentaire d'une femme de 33 ans réalisé par les dentistes du cabinet dentaire Maupassant à Marseille 13

Mme M., 33 ans, a consulté les chirurgiens-dentistes du cabinet dentaire Maupassant à Marseille, dans les Bouches-du-Rhône (13), pour des raisons à la fois esthétiques et fonctionnelles. Plus jeune, elle s’était fracturée les deux incisives centrales lors d’une chute. Malgré plusieurs restauratio...
En savoir plus

Nos prestations sur le secteur de à Marseille 13008

facette

Facettes et Blanchiment de la dentition d'un trentenaire au Cabinet Maupassant 13008-13009

Monsieur L., trentenaire est venu nous consulter au sein de notre Cabinet Dentaire à Marseille. Monsieur L. nous a fait part de sa détresse vis à vis de la forme et de la couleur de ses dents. En effet, il trouve ses dents trop jaunes. Nous lui avons proposé un blanchiment dentaire en première in...
En savoir plus
Sourire esthétique dents blanches facette dentaire céramique et dent à pivot (couronne zircone) Martigues

Restauration esthétique d’une dent jaune dévitalisée : blanchiment dentaire et couronne dentaire céramique esthétique

Mme F., 40 ans, résidant à Martigues dans les Bouches-du-Rhône (13), a consulté le Cabinet Dentaire Maupassant à Marseille Prado car elle n’aimait plus son sourire. De nombreux patients de Martigues se rendent dans notre cabinet situé à Marseille Prado pour des soins d’esthétique dentaire et de r...
En savoir plus

Notre zone d'activité pour ce service Cabinet dentaire esthétique pour blanchiment des dents sans les abîmer

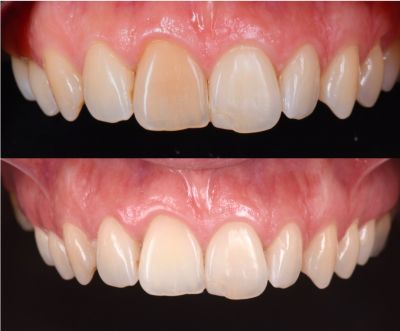
dents nettement plus lumineuses après blanchiment dentaire à Marseille (13008) – résultats visibles et durables

Blanchiment dentaire à Marseille : retrouver un sourire plus blanc

Vous trouvez vos dents trop jaunes, ternes ou foncées ? Le blanchiment dentaire est aujourd’hui la solution la plus fiable et la plus efficace pour retrouver un sourire lumineux.Au Cabinet Dentaire Maupassant, à Marseille 13008 (Prado), nos chirurgiens-dentistes spécialisés en esthétique vous ac...
En savoir plus

Vous cherchez un cabinet d'esthétique dentaire spécialiste du sourire à Marseille Boulevard Michelet ? Le Cabinet esthétique dentaire Maupassant est le spécialiste en esthétique et implantologie dentaire.
Situé entre le 8e et le 9e arrondissement, ce centre de santé bucco-dentaire saura répondre à vos exigences en terme d’esthétique dentaire (traitement, implantologie, prothèses dentaires, blanchiment etc.)
L’équipe du Cabinet esthétique dentaire Maupassant est constitué de praticiens expérimentés et de professionnels qui sont particulièrement attentifs à vos besoins et vous dispenseront le meilleur des services dentaires en votre faveur. N'hésitez pas à les contacter pour la pose de facettes dentaires pas chères à Marseille Boulevard Michelet, pour toutes demandes d'informations.

Nous écrire
Les champs indiqués par un astérisque (*) sont obligatoires
Avoir un jolie sourire
Avoir un jolie sourire