1. Cabinet Maupassant
  2. blanchiment dentaire
  3. Dents jaunes à Marseille : quelles solutions de blanchiment pour les éclaircir durablement
Retour

Dents jaunes à Marseille : quelles solutions de blanchiment pour les éclaircir durablement

J'ai les dents trop jaunes, quelles sont les solutions pour blanchir?

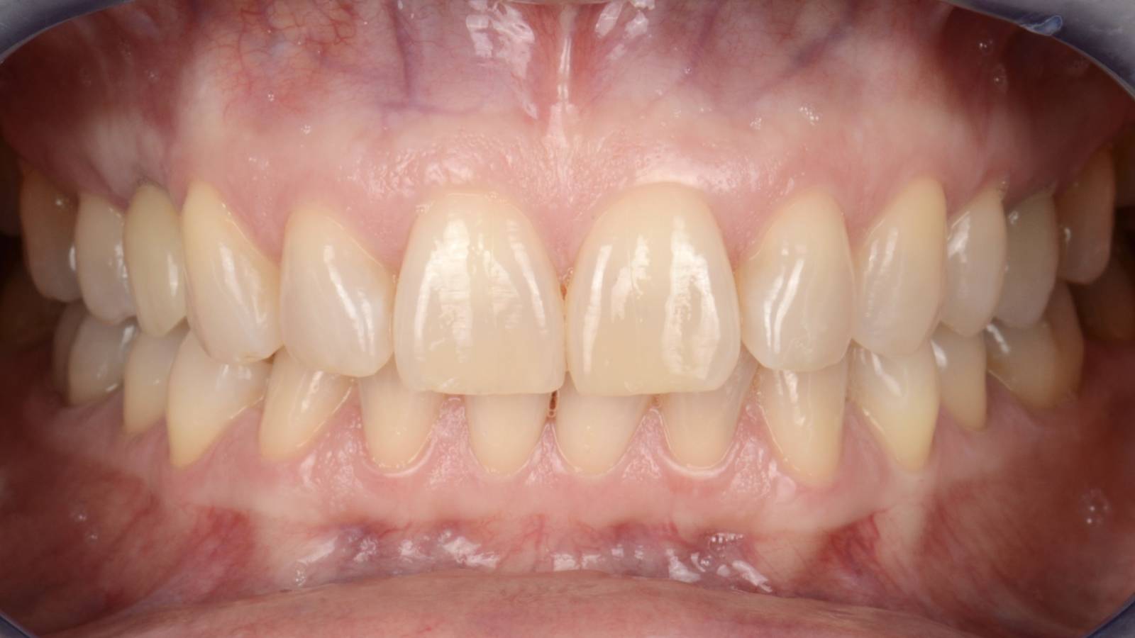
Vous trouvez vos dents trop jaunes et vous vous demandez quelles solutions existent pour améliorer leur couleur ? La teinte des dents représente aujourd’hui l’une des premières demandes esthétiques en cabinet dentaire.

Avec le temps et les habitudes du quotidien (café, tabac, vin rouge, alimentation colorante), les colorations dentaires s’installent progressivement et peuvent ternir le sourire.

Au sein de notre cabinet dentaire spécialisé à Marseille, un bilan complet est toujours réalisé en première intention. Il est généralement associé à un détartrage et à un nettoyage permettant d’éliminer les taches les plus superficielles. Cette étape est essentielle pour évaluer précisément l’origine des colorations.

Ce bilan permet également de vérifier l’absence de caries ou d’infections latentes avant d’envisager un traitement esthétique. En fonction de la situation, un blanchiment dentaire peut alors être proposé, qu’il soit réalisé au cabinet ou à domicile. Le blanchiment constitue une solution efficace pour traiter les colorations dentaires et éclaircir la teinte naturelle des dents.

La couleur vous dérange, mais la forme aussi?

Dans certains cas, la couleur des dents n’est pas la seule source de gêne esthétique. Des dents jugées trop pointues, trop plates ou trop carrées peuvent également altérer l’harmonie du sourire.

Lorsque le blanchiment dentaire ne suffit pas ou lorsque des corrections de forme sont souhaitées, une autre solution peut être envisagée : les facettes dentaires. Elles permettent d’améliorer à la fois la teinte, la forme et l’alignement des dents, avec un résultat esthétique sur mesure.

Après un bilan esthétique approfondi visant à comprendre vos attentes, les solutions les plus adaptées à votre sourire vous seront proposées.

Faites confiance à l’expertise du Cabinet Dentaire Maupassant, spécialisé en dentisterie esthétique.
Notre équipe se tient à votre disposition au 04 69 00 14 78 ou via notre formulaire de contact pour toute information complémentaire.

Avoir un jolie sourire
Avoir un jolie sourire