1. Cabinet Maupassant
  2. blanchiment dentaire
  3. Quelle est la meilleure technique pour blanchir ses dents à Marseille
Retour

Quelle est la meilleure technique pour blanchir ses dents à Marseille

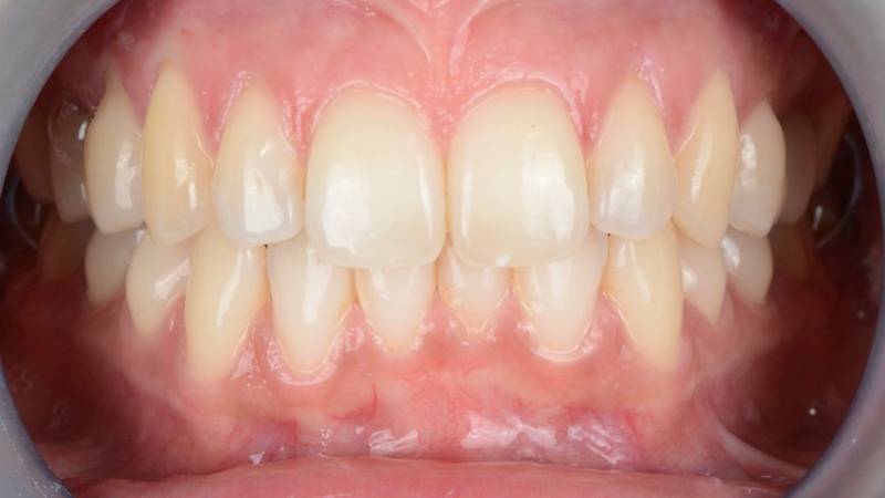
Le blanchiment dentaire est une procédure non invasive permettant d’éclaircir la teinte naturelle des dents et d’augmenter leur luminosité. Au Cabinet Dentaire Maupassant à Marseille 13008 (Prado), nos chirurgiens-dentistes privilégient le terme « éclaircissement dentaire », plus fidèle au fonctionnement réel du traitement.

Les résultats varient selon la teinte initiale, mais un gain moyen de 2 à 3 nuances peut être obtenu, avec une durée de stabilité de 3 à 6 ans selon vos habitudes alimentaires. L’éclaircissement est indiqué chez la plupart des patients ayant des dents naturelles.

Avant le traitement, une séance de nettoyage complet et la réalisation d’empreintes sont nécessaires pour garantir un blanchiment dentaire optimal au Cabinet Maupassant.

Quelles sont les techniques utilisées pour blanchir les dents ?

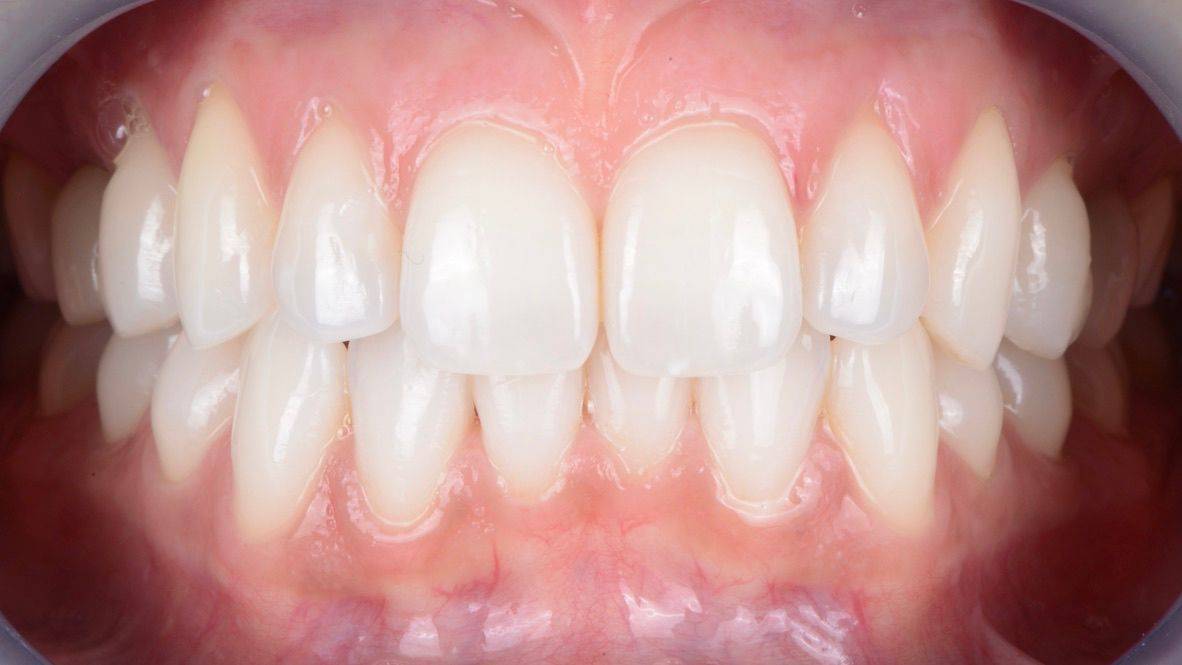
1️⃣ Éclaircissement dentaire par gouttières (technique ambulatoire)
Nous réalisons des gouttières sur mesure associées à un gel d’éclaircissement médical.
Après démonstration au cabinet, les gouttières doivent être portées chaque nuit pendant environ 15 jours.
Cette méthode progressive permet d’obtenir un sourire visiblement plus lumineux, avec une excellente préservation de l’émail.

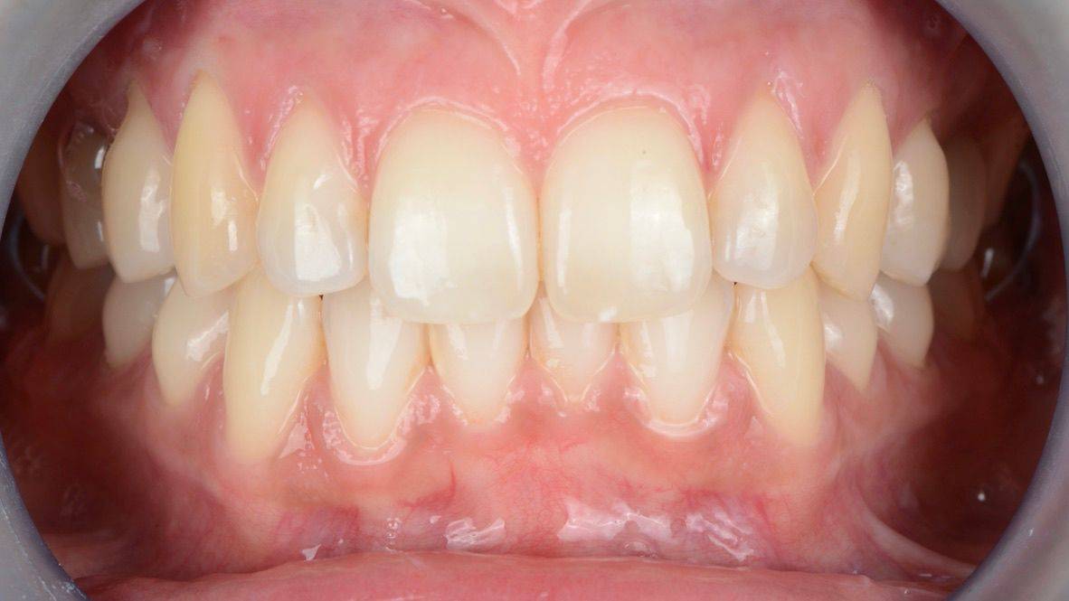
2️⃣ Alternatives permanentes : les facettes dentaires
Dans certains cas (taches profondes, nombreuses restaurations en composite, dents très dyschromiées), les facettes dentaires offrent une solution durable permettant de choisir précisément la teinte souhaitée.
Elles constituent une alternative esthétique minimalement invasive lorsque le blanchiment seul ne suffit pas.

Pour plus d’informations sur les techniques d’éclaircissement ou de blanchiment des dents à Marseille 13008, notre équipe de chirurgiens-dentistes est à votre disposition au 04 69 00 14 78 ou via notre formulaire de contact.

Avoir un jolie sourire
Avoir un jolie sourire